Thổi cát răng là kỹ thuật nha khoa tiên tiến sử dụng áp lực khí nén kết hợp với nước và bột khoáng chuyên dụng để làm sạch bề mặt răng. Phương pháp này không chỉ loại bỏ triệt để các mảng bám sinh học, vết dính ố vàng mà còn trả lại vẻ sáng bóng tự nhiên cho men răng mà không gây tổn hại đến cấu trúc răng thật. Để giúp bạn hiểu rõ hơn về quy trình, lợi ích và tính an toàn của phương pháp này, bài viết dưới đây sẽ cung cấp thông tin chi tiết dựa trên kiến thức nha khoa chuẩn xác.
Công nghệ thổi cát răng hoạt động như thế nào?
Công nghệ thổi cát răng hoạt động dựa trên nguyên lý cơ học chất lỏng và khí động học. Một thiết bị chuyên dụng sẽ phun ra một luồng khí nén áp suất cao, trộn lẫn với dòng nước và các hạt bột siêu mịn thường là Natri Bicarbonate, Glycine hoặc Erythritol. Hỗn hợp này tác động trực tiếp lên bề mặt răng với lực vừa đủ để:
- Đánh bật các mảng bám thức ăn thừa.
- Phá vỡ cấu trúc của vôi răng ở mức độ nhẹ.
- Làm sạch sâu tại các vị trí mà bàn chải hoặc chỉ nha khoa khó tiếp cận như: kẽ răng, hố rãnh nhai và vùng dưới viền nướu.
Khác với phương pháp cạo vôi răng truyền thống chủ yếu dùng lực rung siêu âm hoặc dụng cụ cầm tay để “cạy” mảng bám, thổi cát răng giống như một quy trình “spa” cho răng, giúp làm sạch toàn diện nhưng nhẹ nhàng hơn rất nhiều.

5 Lợi ích vượt trội của kỹ thuật thổi cát răng
Việc ứng dụng công nghệ thổi cát răng trong vệ sinh răng miệng định kỳ mang lại nhiều ưu điểm so với các kỹ thuật cũ. Dưới đây là những lợi ích thực tế mà bạn sẽ nhận được:
Hiệu quả làm sạch mảng bám và vết ố
Các hạt bột siêu mịn trong dòng khí nén có khả năng len lỏi vào từng kẽ nhỏ nhất của răng. Điều này giúp loại bỏ hoàn toàn các vết ố vàng do trà, cà phê, thuốc lá hay thực phẩm màu bám chặt trên bề mặt men răng.

Bảo vệ men răng và mô mềm
Do không sử dụng mũi khoan hay lực ma sát kim loại trực tiếp lên răng, kỹ thuật này hạn chế tối đa nguy cơ làm trầy xước men răng hay tổn thương nướu giúp duy trì độ bóng láng tự nhiên của răng lâu dài.
Hỗ trợ đắc lực cho người niềng răng
Đối với bệnh nhân đang đeo mắc cài, việc vệ sinh quanh các khí cụ chỉnh nha là cực kỳ khó khăn. Thổi cát răng giúp làm sạch xung quanh mắc cài, dây cung và các kẽ răng một cách nhanh chóng, ngăn ngừa tình trạng đốm trắng sau khi tháo niềng.
An toàn cho răng sứ và Implant
Công nghệ này đặc biệt an toàn khi sử dụng trên các vật liệu phục hình như răng sứ, miếng trám Composite hay trụ Implant giúp loại bỏ vi khuẩn quanh trụ Implant mà không làm trầy xước bề mặt trụ Titan.
Trải nghiệm êm ái, ít ê buốt
Quá trình thực hiện diễn ra nhanh chóng, ít tiếng ồn và hạn chế sinh nhiệt cho nên bạn sẽ cảm thấy thoải mái, giảm thiểu cảm giác ê buốt hay đau nhức thường thấy khi lấy cao răng bằng máy siêu âm cũ.
Những trường hợp nên thực hiện thổi cát răng
Phương pháp này được các chuyên gia nha khoa chỉ định rộng rãi cho nhiều đối tượng khác nhau nhằm duy trì sức khỏe răng miệng:
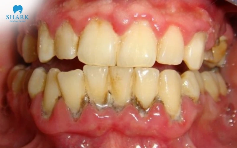
- Người có nhiều mảng bám sắc tố: Răng bị xỉn màu, ố vàng do thói quen hút thuốc lá, uống cà phê, trà đậm hoặc rượu vang.
- Người đang niềng răng: Cần vệ sinh kỹ lưỡng các mắc cài để tránh viêm lợi và sâu răng.
- Bệnh nhân có phục hình răng: Người làm răng sứ, trồng răng Implant cần vệ sinh định kỳ để tăng tuổi thọ phục hình.
- Người bị viêm nướu, viêm nha chu: Cần làm sạch sâu dưới nướu để loại bỏ ổ vi khuẩn gây bệnh.
- Chuẩn bị trước các thủ thuật khác: Làm sạch bề mặt răng trước khi tẩy trắng răng, trám răng hoặc gắn mắc cài để tăng độ bám dính.
Lưu ý: Một số trường hợp cần tham khảo ý kiến bác sĩ trước khi thực hiện bao gồm: Người bị hen suyễn nặng do bụi khí, người đang theo chế độ ăn kiêng muối nghiêm ngặt nếu sử dụng bột muối Natri hoặc người có vết thương hở lớn trong miệng.

Quy trình thổi cát răng chuẩn Y khoa
Để đảm bảo hiệu quả tối ưu và an toàn tuyệt đối, quy trình thổi cát răng cần được thực hiện theo các bước tiêu chuẩn sau:
- Bước 1: Thăm khám và đánh giá: Bác sĩ kiểm tra tổng quát tình trạng răng miệng, xác định mức độ mảng bám và vôi răng. Nếu vôi răng quá cứng và dày, bác sĩ có thể cần kết hợp lấy cao răng bằng sóng siêu âm trước khi thổi cát.
- Bước 2: Chuẩn bị và bảo vệ: Bạn được đeo kính bảo hộ để tránh bột bay vào mắt. Môi và nướu có thể được bôi vaseline hoặc che chắn để giữ ẩm và hạn chế cảm giác khô rát do bột muối.
- Bước 3: Thực hiện thổi cát: Bác sĩ sử dụng đầu phun chuyên dụng, di chuyển liên tục trên bề mặt răng, kẽ răng và viền nướu. Lực phun và lượng bột được điều chỉnh phù hợp với từng vùng răng và mức độ nhạy cảm của bệnh nhân.
- Bước 4: Làm sạch và kiểm tra: Sau khi thổi cát, khoang miệng được rửa sạch kỹ lưỡng để loại bỏ hoàn toàn bột còn sót lại, đồng thời bác sĩ kiểm tra lại toàn bộ bề mặt răng để đảm bảo không còn mảng bám.
- Bước 5: Hướng dẫn chăm sóc: Kết thúc quy trình, bác sĩ sẽ tư vấn về chế độ vệ sinh và ăn uống để duy trì kết quả trắng sáng lâu dài.

Chăm sóc răng miệng sau khi thổi cát răng
Sau khi lớp mảng bám được loại bỏ, bề mặt răng sẽ sạch bóng nhưng cũng “nhạy cảm” hơn với các sắc tố màu trong thời gian ngắn. Để duy trì kết quả, bạn cần lưu ý:
- Hạn chế thực phẩm màu: Trong 24-48 giờ đầu, tránh dùng cà phê, trà, nước ngọt có gas, nghệ, cà ri, rượu vang đỏ và thuốc lá.
- Tránh đồ ăn quá nóng/lạnh: Men răng cần thời gian ổn định, việc tránh nhiệt độ khắc nghiệt giúp ngăn ngừa cảm giác ê buốt.
- Vệ sinh đúng cách: Chải răng 2 lần/ngày bằng bàn chải lông mềm và kết hợp dùng chỉ nha khoa và máy tăm nước để làm sạch kẽ răng.
- Tái khám định kỳ: Nên thực hiện thổi cát và kiểm tra răng miệng định kỳ 6 tháng/lần để ngăn chặn mảng bám tích tụ trở lại.

Câu hỏi thường gặp về thổi cát răng
Dưới đây là giải đáp chuyên môn cho những thắc mắc phổ biến của người dùng về dịch vụ này:
Thổi cát răng có làm trắng răng không?
Thực tế, thổi cát răng không phải là tẩy trắng răng dùng hóa chất làm thay đổi màu men răng. Tuy nhiên, do loại bỏ được sạch sẽ các lớp ố vàng bám bên ngoài, răng sẽ trở về màu sắc tự nhiên ban đầu, trông sáng và bóng hơn rõ rệt.
Thổi cát răng có đau không?
Không đau. Cảm giác thường gặp nhất là hơi buốt hoặc mát lạnh ở răng do luồng khí và nước. Loại bột thế hệ mới như Glycine rất mềm mịn, giảm thiểu tối đa sự khó chịu so với các phương pháp cũ.
Có nên tự mua máy thổi cát tại nhà không?
Không nên. Việc sử dụng áp lực khí nén không kiểm soát có thể gây tổn thương nướu nghiêm trọng hoặc mòn men răng nếu kỹ thuật sai. Quy trình này cần được thực hiện bởi bác sĩ hoặc kỹ thuật viên nha khoa được đào tạo bài bản.
Thổi cát răng là một bước tiến quan trọng trong nha khoa dự phòng, mang lại giải pháp làm sạch răng miệng toàn diện, an toàn và thẩm mỹ. Việc tích hợp công nghệ thổi cát răng vào thói quen chăm sóc sức khỏe định kỳ sẽ giúp bạn sở hữu nụ cười rạng rỡ và ngăn ngừa hiệu quả các bệnh lý về răng miệng.






