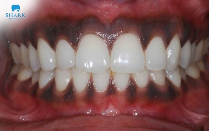
Nụ cười rạng rỡ không chỉ đến từ hàm răng trắng sáng mà còn phụ thuộc vào màu sắc của mô nướu. Tình trạng nướu thâm đen, sậm màu khiến nụ cười trở nên kém thẩm mỹ, gây tâm lý e ngại khi giao tiếp. Làm hồng nướu là giải pháp nha khoa thẩm mỹ hiện đại giúp khắc phục triệt để vấn đề này, trả lại vẻ hồng hào tự nhiên cho nụ cười. Cùng Góc kiến thức nha khoa tìm hiểu rõ ràng hơn về nguyên nhân gây thâm nướu, các phương pháp điều trị tiên tiến nhất hiện nay và cách chăm sóc để duy trì kết quả lâu dài.
Nguyên nhân khiến nướu bị thâm đen
Các nguyên nhân chính dẫn đến tình trạng này bao gồm:
- Yếu tố di truyền: Nếu cơ thể sản sinh lượng Melanin quá mức tại vùng nướu, nướu sẽ có màu nâu hoặc đen bẩm sinh.
- Thói quen hút thuốc lá: Nicotine và nhiệt độ từ khói thuốc kích thích cơ thể sản sinh Melanin để bảo vệ mô nướu, lâu ngày dẫn đến tình trạng thâm đen lan rộng và khó loại bỏ bằng các biện pháp vệ sinh thông thường.
- Bệnh lý răng miệng: Cao răng tích tụ dưới nướu lâu ngày gây viêm nướu, viêm nha chu. Lúc này, nướu có thể chuyển sang màu đỏ tím hoặc thâm đen do tụ máu và viêm nhiễm.
- Sử dụng phục hình cũ: Sau một thời gian sử dụng, sườn kim loại bên trong răng sứ có thể bị oxy hóa trong môi trường miệng, dẫn đến hiện tượng “xăm nướu” – làm viền nướu bị đen.
- Tác dụng phụ của thuốc: Một số loại thuốc điều trị bệnh toàn thân cũng có thể gây biến đổi sắc tố niêm mạc miệng.

Các phương pháp làm hồng nướu phổ biến hiện nay
Với sự tiến bộ của nha khoa hiện đại, việc điều trị thâm nướu đã trở nên nhẹ nhàng và hiệu quả hơn rất nhiều. Tùy thuộc vào nguyên nhân gây thâm nướu, bác sĩ sẽ chỉ định phương pháp điều trị phù hợp nhất.
Làm hồng nướu răng bằng laser
Làm hồng nướu răng bằng laser sử dụng chùm tia sáng có bước sóng đặc biệt để tìm kiếm và phá hủy các tế bào hắc sắc tố Melanin nằm sâu dưới lớp biểu mô nướu mà không gây tổn thương mô lành.
Ưu điểm vượt trội của công nghệ Laser:
- Hiệu quả tức thì: Loại bỏ triệt để sắc tố thâm sạm chỉ sau 1 lần thực hiện duy nhất.
- Không đau, không chảy máu: Tia Laser có khả năng khóa đông mạch máu ngay lập tức, hạn chế tối đa xâm lấn và cảm giác đau đớn.
- Thời gian hồi phục nhanh: Quá trình điều trị chỉ kéo dài từ 15-30 phút nên bạn có thể ăn uống và sinh hoạt bình thường ngay sau đó.
- An toàn tuyệt đối: Hạn chế tối đa nguy cơ nhiễm trùng và tái phát so với các phương pháp phẫu thuật truyền thống bằng dao mổ.

Cạo vôi răng
Lấy cao răng áp dụng cho trường hợp nướu bị thâm hoặc đỏ tím do mảng bám và cao răng gây viêm. Lúc này, bác sĩ sử dụng máy siêu âm để loại bỏ sạch mảng bám, cao răng nằm sâu dưới nướu. Khi tác nhân gây viêm được loại bỏ, nướu sẽ hết sưng, giảm tụ máu và dần trở lại màu hồng hào, săn chắc tự nhiên.

Thay thế răng sứ thẩm mỹ
Đối với trường hợp thâm đen viền nướu do sử dụng răng sứ kim loại cũ thì bác sĩ sẽ chỉ định tháo bỏ mão sứ cũ và thay thế bằng dòng răng toàn sứ như Emax, Cercon, Zirconia… Bởi vì răng toàn sứ có độ tương thích sinh học cao, không bị oxy hóa trong môi trường miệng, khắc phục hoàn toàn tình trạng đen viền nướu và mang lại tính thẩm mỹ cao.

Quy trình làm hồng nướu bằng Laser chuẩn y khoa
Để đảm bảo an toàn và hiệu quả, quy trình làm hồng nướu cần được thực hiện theo các bước nghiêm ngặt sau:
- Bước 1: Thăm khám và tư vấn: Bác sĩ kiểm tra tình trạng nướu, xác định mức độ thâm và nguyên nhân để đưa ra phác đồ điều trị.
- Bước 2: Vệ sinh khoang miệng: Loại bỏ cao răng và mảng bám để đảm bảo môi trường vô khuẩn trước khi chiếu laser.
- Bước 3: Gây tê tại chỗ: Sử dụng thuốc tê dạng bôi hoặc tiêm với liều lượng thích hợp để khách hàng cảm thấy thoải mái nhất trong quá trình thực hiện.
- Bước 4: Chiếu tia Laser: Bác sĩ điều chỉnh tần số laser phù hợp, chiếu trực tiếp lên vùng nướu thâm để loại bỏ sắc tố Melanin.
- Bước 5: Hướng dẫn chăm sóc: Kết thúc quy trình, bác sĩ kiểm tra lại vùng điều trị và hướng dẫn khách hàng cách chăm sóc tại nhà.
Những lưu ý quan trọng sau khi làm hồng nướu
Chăm sóc hậu phẫu đóng vai trò quan trọng trong việc duy trì kết quả và giúp mô nướu hồi phục nhanh chóng.
Về chế độ ăn uống:
- Nên: Ăn các loại thức ăn mềm, nguội, giàu vitamin như rau xanh, trái cây trong 1-2 ngày đầu. Uống nhiều nước để giữ ẩm cho khoang miệng.
- Tránh: Thực phẩm quá nóng, quá cay, hoặc quá cứng có thể gây kích ứng vùng nướu non. Hạn chế thực phẩm có màu đậm như cà phê, nước tương, trà đặc… trong tuần đầu tiên.
Về vệ sinh răng miệng:
- Sử dụng bàn chải lông mềm, chải răng nhẹ nhàng, tránh tác động mạnh vào vùng nướu vừa điều trị.
- Không sử dụng nước súc miệng có tính sát khuẩn quá mạnh gây khô nướu. Nên dùng nước muối sinh lý để làm sạch nhẹ nhàng.
Về thói quen sinh hoạt:
- Tuyệt đối không hút thuốc lá vì đây là yếu tố hàng đầu khiến nướu bị thâm trở lại nhanh chóng.
- Tuân thủ lịch tái khám định kỳ để bác sĩ theo dõi quá trình lành thương.

Các biện pháp phòng ngừa nướu thâm trở lại
Để nụ cười luôn hồng hào và khỏe mạnh, bạn cần duy trì thói quen chăm sóc răng miệng khoa học như sau:
- Khám nha khoa định kỳ: Nên thực hiện 6 tháng/lần để lấy cao răng và kiểm soát sức khỏe nướu.
- Loại bỏ thói quen xấu: Hạn chế tối đa rượu bia, thuốc lá và các chất kích thích.
- Bổ sung dinh dưỡng: Tăng cường Vitamin C và Vitamin K trong khẩu phần ăn để giúp nướu chắc khỏe, giảm nguy cơ chảy máu.

Làm hồng nướu là một thủ thuật nha khoa tuy đơn giản nhưng đòi hỏi sự chính xác và công nghệ hiện đại. Hy vọng những thông tin trên đã giúp bạn hiểu rõ hơn về phương pháp này. Nếu chẳng may gặp phải tình trạng thâm đen nướu, bạn đừng ngừng ngại liên hệ đến hotline 1800 2069 để được trực tiếp bác sĩ thăm khám và điều trị nhanh chóng nhé.






