Cảm giác ngứa chân răng kéo dài không chỉ gây khó chịu mà còn ảnh hưởng trực tiếp đến chất lượng cuộc sống và sinh hoạt hằng ngày. Nhiều người thường lo lắng không biết ngứa chân răng là bị sao và làm thế nào hết ngứa chân răng một cách an toàn. Để giải đáp các thắc mắc này và giúp bạn chủ động hơn trong việc chăm sóc sức khỏe răng miệng, Góc kiến thức nha khoa sẽ phân tích chi tiết nguyên nhân, dấu hiệu nhận biết và các phương pháp điều trị chuẩn y khoa ngay trong bài viết dưới đây.
Ngứa chân răng là bệnh gì?
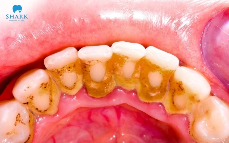
Ngứa chân răng là tình trạng vùng nướu (lợi) bao quanh chân răng xuất hiện cảm giác ngứa râm ran, bứt rứt. Tình trạng này có thể đi kèm với các triệu chứng khác như:
- Ê buốt răng nhẹ.
- Sưng tấy hoặc đỏ vùng nướu.
- Chảy máu khi chải răng.
Mặc dù không gây đau dữ dội ngay lập tức, nhưng đây là dấu hiệu cảnh báo sớm cho thấy sức khỏe răng miệng đang gặp vấn đề. Nếu không được kiểm soát, tình trạng này có thể tiến triển thành các bệnh lý nha chu nghiêm trọng hơn, ảnh hưởng đến cấu trúc nâng đỡ răng.

Nguyên nhân gây ngứa chân răng thường gặp
Ngứa chân răng không tự nhiên xuất hiện mà là hệ quả của nhiều yếu tố tác động lên nướu và răng. Việc xác định chính xác nguyên nhân là bước quan trọng nhất để tìm ra cách trị ngứa chân răng tại nhà hoặc tại nha khoa phù hợp.
Dưới đây là các nhóm nguyên nhân phổ biến:
Do bệnh lý răng miệng
Vi khuẩn tích tụ trong mảng bám và cao răng, đặc biệt là tại khu vực viền nướu và kẽ răng, sẽ tiết ra độc tố gây kích ứng nướu. Phản ứng viêm nhẹ ban đầu sẽ gây ra cảm giác ngứa, sưng đỏ và dễ chảy máu. Nếu không loại bỏ cao răng, tình trạng này sẽ dẫn đến viêm nướu và viêm nha chu.

Do tổn thương vật lý
Nướu răng có thể bị tổn thương và gây ngứa do các tác động cơ học như:
- Chải răng quá mạnh: Làm trầy xước nướu.
- Nghiến răng: Thói quen nghiến răng khi ngủ tạo áp lực lớn lên chân răng và mô nướu.
- Va đập: Chấn thương khi chơi thể thao hoặc tai nạn nhỏ vùng miệng.
Thay đổi nội tiết tố
Sự biến động hormone trong cơ thể làm tăng lưu lượng máu đến nướu, khiến mô nướu trở nên nhạy cảm và dễ bị kích ứng hơn với mảng bám. Tình trạng này thường gặp ở:
- Phụ nữ mang thai bị viêm nướu thai kỳ.
- Giai đoạn dậy thì.
- Chu kỳ kinh nguyệt hoặc giai đoạn mãn kinh.
Dị ứng
Một số người có cơ địa nhạy cảm có thể bị ngứa chân răng do dị ứng với thực phẩm như hải sản, một số loại hạt, trái cây… hoặc các thành phần trong kem đánh răng, nước súc miệng. Khi niêm mạc miệng bị kích ứng, các dây thần kinh sẽ phản ứng bằng cảm giác ngứa, sưng hoặc nổi mẩn.
Do mọc răng hoặc khô miệng
- Mọc răng: Ở trẻ em mọc răng sữa hoặc người lớn mọc răng khôn, áp lực của răng khi tách nướu trồi lên sẽ kích thích dây thần kinh, gây ngứa và đau nhẹ.
- Khô miệng: Thiếu nước bọt làm mất đi lớp bảo vệ tự nhiên, tạo điều kiện cho vi khuẩn phát triển mạnh gây viêm và ngứa.
Cách trị ngứa chân răng tại nhà an toàn
Nếu triệu chứng ở mức độ nhẹ và chưa có dấu hiệu viêm nhiễm nặng, việc áp dụng các cách trị ngứa chân răng tại nhà dưới đây có thể giúp giảm thiểu sự khó chịu:
Vệ sinh răng miệng đúng chuẩn
- Đánh răng ít nhất 2 lần/ngày bằng bàn chải lông mềm.
- Sử dụng chỉ nha khoa hoặc máy tăm nước để làm sạch kẽ răng – nơi bàn chải không thể chạm tới.
- Dùng nước súc miệng sát khuẩn không chứa cồn để giảm lượng vi khuẩn trong khoang miệng.
Súc miệng nước muối ấm
Nước muối có đặc tính kháng khuẩn và làm dịu niêm mạc rất tốt.
- Cách làm: Pha 1 muỗng cà phê muối sạch với khoảng 250ml nước ấm.
- Thực hiện: Súc miệng nhẹ nhàng trong 30 giây rồi nhổ bỏ. Lặp lại 2-3 lần/ngày để giảm viêm và ngứa.

Chườm lạnh hoặc ngậm đá
Nhiệt độ thấp có tác dụng gây tê tạm thời và co mạch, giúp giảm sưng và cắt cơn ngứa nhanh chóng. Có thể ngậm một viên đá nhỏ hoặc chườm túi lạnh bên ngoài má tại vị trí bị ngứa.
Điều chỉnh chế độ ăn uống
Để làm thế nào hết ngứa chân răng nhanh chóng, cần hạn chế các tác nhân gây kích ứng dưới đây:
- Tránh thực phẩm quá cay, nóng, chua nhiều axit.
- Hạn chế đồ ngọt, tinh bột dính vì chúng tạo mảng bám nhanh chóng.
- Tuyệt đối không hút thuốc lá hay sử dụng các chất kích thích.
>>> Xem thêm: Sưng mộng răng là gì?
Các phương pháp điều trị chuyên sâu tại nha khoa
Khi tình trạng ngứa kéo dài, kèm theo chảy máu, tụt lợi hoặc hôi miệng, bạn cần đến nha khoa để được thăm khám. Dựa trên nguyên nhân cụ thể, bác sĩ sẽ chỉ định phác đồ điều trị phù hợp:
- Lấy vôi răng: Loại bỏ hoàn toàn mảng bám và cao răng cứng đầu trên và dưới nướu để giải quyết triệt để nguyên nhân gây viêm nướu.
- Nạo túi nha chu: Nếu viêm nhiễm đã lan sâu xuống dưới, bác sĩ cần làm sạch sâu túi nướu để loại bỏ vi khuẩn và mô viêm.
- Sử dụng thuốc: Bác sĩ có thể kê đơn thuốc kháng histamin nếu do dị ứng hoặc các loại gel bôi, nước súc miệng chuyên dụng để giảm viêm.
- Máng chống nghiến: Nếu nguyên nhân do tật nghiến răng, bạn sẽ được thiết kế máng bảo vệ để đeo khi ngủ.
- Công nghệ Laser: Sử dụng tia Laser để diệt khuẩn và tái tạo mô nướu, giúp giảm ngứa và lành thương nhanh chóng.

Biện pháp phòng ngừa ngứa chân răng tái phát
Để duy trì sức khỏe răng miệng và ngăn ngừa tình trạng khó chịu này quay trở lại, bạn cần tuân thủ các nguyên tắc sau:
- Khám răng định kỳ: Duy trì lịch lấy vôi răng và kiểm tra tổng quát 6 tháng/lần.
- Vệ sinh kỹ lưỡng: Không bao giờ bỏ qua bước dùng chỉ nha khoa và chải răng trước khi đi ngủ.
- Lắng nghe cơ thể: Theo dõi các phản ứng của nướu với thực phẩm hoặc các sản phẩm chăm sóc răng miệng mới để điều chỉnh kịp thời.
- Bổ sung dinh dưỡng: Tăng cường Vitamin C và các khoáng chất giúp nướu chắc khỏe.

Ngứa chân răng là tín hiệu cảnh báo từ cơ thể ảnh hưởng đến sức khỏe răng miệng mà bạn không nên phớt lờ. Việc kết hợp giữa chăm sóc tại nhà và thăm khám chuyên khoa là chìa khóa để giải quyết triệt để vấn đề này. Nếu vẫn còn các thắc mắc liên quan và cần tìm kiếm một cơ sở nha khoa trị ngứa chân răng uy tín, hãy liên hệ ngay Hotline 1800 2069 để đặt lịch thăm khám với bác sĩ ngay nhé.






