Viêm quanh cuống răng là một biến chứng nghiêm trọng của các bệnh lý tủy răng, không chỉ gây đau nhức dữ dội mà còn đe dọa trực tiếp đến sự tồn tại của răng trên cung hàm. Việc nhận biết sớm và điều trị đúng phác đồ là yếu tố then chốt để bảo tồn răng thật và ngăn chặn các biến chứng nguy hiểm như áp xe hay nhiễm trùng lan rộng. Dưới đây là thông tin chuyên sâu được Góc kiến thức nha khoa tổng hợp theo tiêu chuẩn y khoa, giúp bạn hiểu rõ về bệnh lý này.
Viêm quanh cuống răng là gì?
Viêm quanh cuống răng là tình trạng viêm nhiễm xảy ra tại các mô bao quanh chóp răng, bao gồm dây chằng nha chu và xương ổ răng. Bệnh lý này thường là hậu quả tiếp theo khi tủy răng đã bị tổn thương không hồi phục hoặc đã chết. Khi đó, hệ thống vi khuẩn từ buồng tủy sẽ xâm nhập qua lỗ chóp răng, lan rộng ra vùng xương và dây chằng xung quanh, kích hoạt phản ứng viêm.
Tùy thuộc vào phản ứng của cơ thể và độc lực của vi khuẩn, bệnh thường tiến triển dưới hai dạng chính:
- Viêm cấp tính: Diễn biến nhanh, rầm rộ với các triệu chứng đau dữ dội.
- Viêm mạn tính (hoặc bán cấp): Diễn biến âm thầm, ít triệu chứng nhưng gây tiêu xương từ từ.

Nguyên nhân dẫn đến viêm quanh cuống răng
Để điều trị dứt điểm viêm cuống răng, bạn cần xác định chính xác nguyên nhân khởi phát. Có 3 nhóm nguyên nhân chính gây ra bệnh lý này:
Do nhiễm khuẩn
Đây là nguyên nhân hàng đầu, xuất phát từ việc tủy răng bị hoại tử do sâu răng không được điều trị khiến vi khuẩn xâm nhập từ ống tủy ra vùng chóp răng. Lúc này, các độc tố vi khuẩn như Enzyme tiêu Protein, Phosphatase Acid… cùng các chất gây viêm giải phóng từ tủy hoại tử sẽ phá hủy mô quanh chóp.

Do chấn thương
Tác động vật lý lên răng có thể làm tổn thương mạch máu nuôi dưỡng và dây chằng quanh răng:
- Sang chấn cấp tính: Do va đập mạnh, tai nạn gãy răng làm đứt mạch máu cuống răng.
- Sang chấn mạn tính: Do tật nghiến răng, cắn chặt răng, thói quen cắn bút, cắn chỉ hoặc do điểm chạm sớm trong khớp cắn gây áp lực liên tục lên vùng chóp.

Do sai sót trong quá trình điều trị nha khoa
Một số trường hợp viêm nhiễm phát sinh do các tác động không mong muốn trong quá trình điều trị tủy trước đó như:
- Dụng cụ điều trị bị gãy và kẹt trong ống tủy.
- Đẩy chất bẩn, vi khuẩn hoặc chất hàn trám ra ngoài vùng chóp răng.
- Sử dụng thuốc sát khuẩn ống tủy có tính kích thích mạnh gây bỏng mô quanh chóp.

>>> Xem thêm: Nguyên nhân và cách điều trị sưng mộng răng
Triệu chứng nhận biết viêm quanh cuống răng
Triệu chứng của bệnh viêm cuống răng thay đổi rõ rệt tùy theo giai đoạn cấp tính hay mạn tính. Bạn cần lưu ý các dấu hiệu sau:
Dấu hiệu viêm quanh cuống răng cấp
Đây là giai đoạn cơ thể phản ứng mạnh mẽ với nhiễm trùng, bạn sẽ cảm thấy:
- Đau nhức dữ dội: Cơn đau tự phát, đau buốt lên tận óc, đau tăng lên khi nhai hoặc khi hai hàm chạm vào nhau, thậm chí nếu có dùng thuốc giảm đau thông thường cũng ít có tác dụng.
- Sưng nề: Vùng nướu tương ứng với chân răng bị sưng đỏ, căng bóng và có thể sưng lan ra vùng mặt, gây biến dạng khuôn mặt.
- Răng lung lay: Cảm giác răng trồi cao hơn bình thường, chạm nhẹ vào rất đau.
- Triệu chứng toàn thân: Sốt cao (trên 38 độ C), mệt mỏi, hạch góc hàm sưng đau, môi khô, lưỡi bẩn.

Dấu hiệu viêm quanh cuống răng bán cấp và mạn tính
Giai đoạn này bệnh diễn biến âm thầm hơn, dễ bị bỏ qua nhưng lại gây hậu quả tiêu xương nghiêm trọng.
- Đau âm ỉ: Cảm giác đau nhẹ, ê buốt thoáng qua hoặc chỉ đau khi ăn nhai mạnh.
- Đổi màu răng: Răng chuyển sang màu xám đục hoặc sẫm màu do tủy đã chết lâu ngày.
- Xuất hiện lỗ rò: Trên nướu có thể xuất hiện nốt mụn mủ, định kỳ vỡ ra chảy mủ rồi lành lại, để lại sẹo nhỏ. Đây là đường thoát dịch viêm từ chóp răng ra ngoài.
- Tiền sử bệnh: Răng đã từng được chữa tủy hoặc có miếng trám lớn, răng bị chấn thương từ trước.

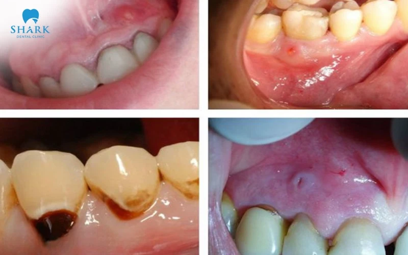
Hình ảnh viêm quanh cuống răng và chẩn đoán
Việc chẩn đoán xác định không chỉ dựa vào triệu chứng lâm sàng mà buộc phải kết hợp với cận lâm sàng. Dưới đây là mô tả về các đặc điểm hình ảnh viêm quanh cuống răng thường thấy trên phim chụp và thực tế:
Hình ảnh trên phim X-quang


Hình ảnh thực tế lâm sàng



Các phương pháp điều trị chuyên sâu
Nguyên tắc điều trị viêm quanh cuống răng là loại bỏ toàn bộ mô nhiễm trùng, hàn kín hệ thống ống tủy để tạo điều kiện cho mô quanh cuống hồi phục. Tùy mức độ, bác sĩ sẽ chỉ định:
Điều trị toàn thân
Áp dụng trong giai đoạn viêm cấp tính có sưng đau và sốt.
- Sử dụng kháng sinh nhóm Beta-lactam kết hợp Metronidazole để chống nhiễm khuẩn.
- Sử dụng thuốc giảm đau, kháng viêm, hạ sốt.
Lưu ý: Thuốc chỉ có tác dụng hỗ trợ giảm triệu chứng, không loại bỏ được nguyên nhân gốc rễ. Bệnh sẽ tái phát nếu không can thiệp thủ thuật.
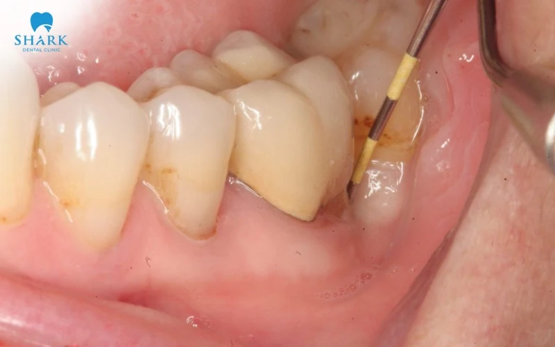
Điều trị nội nha
Đây là phương pháp “vàng” trong điều trị viêm quanh cuống răng:
- Bước 1: Mở tủy: Bác sĩ khoan mở đường vào buồng tủy.
- Bước 2: Làm sạch và tạo hình: Loại bỏ hoàn toàn mô tủy hoại tử, bơm rửa sạch vi khuẩn trong ống tủy bằng dung dịch chuyên dụng.
- Bước 3: Băng thuốc: Đặt thuốc sát khuẩn Ca(OH)2 vào trong ống tủy để trung hòa độc tố và kích thích lành thương mô quanh cuống.
- Bước 4: Trám bít: Khi hết viêm, ống tủy được hàn kín bằng vật liệu Gutta Percha, ngăn chặn vi khuẩn tái xâm nhập.

Điều trị phẫu thuật
Được chỉ định khi điều trị nội nha thất bại hoặc tổn thương quá lớn như u hạt, nang chân răng lớn:
- Phẫu thuật cắt chóp: Lật vạt lợi, bộc lộ xương, cắt bỏ phần chóp răng bị viêm nhiễm và nạo sạch tổ chức u hạt.
- Trám ngược: Hàn kín đầu tận cùng của ống tủy sau khi cắt chóp.
- Nhổ răng: Là giải pháp cuối cùng khi răng lung lay quá nhiều, tiêu xương quá mức không thể giữ lại.
Cách phòng ngừa viêm quanh cuống răng hiệu quả
Để tránh xa nguy cơ viêm quanh cuống răng và các biến chứng đau đớn, bạn cần tuân thủ chế độ chăm sóc răng miệng kỹ lưỡng như sau:
- Khám nha khoa định kỳ 6 tháng/lần: Giúp phát hiện sớm sâu răng và viêm tủy để điều trị trước khi biến chứng xuống vùng cuống răng.
- Vệ sinh răng miệng đúng cách: Chải răng 2-3 lần/ngày bằng bàn chải lông mềm và kết hợp sử dụng chỉ nha khoa và máy tăm nước để làm sạch kẽ răng.
- Xử lý kịp thời các chấn thương: Nếu bị va đập vùng răng miệng, cần đi kiểm tra ngay cả khi chưa thấy đau, để tránh tình trạng tủy chết âm thầm gây viêm quanh cuống sau này.
- Chế độ dinh dưỡng: Hạn chế đồ ngọt, thực phẩm có tính axit cao để bảo vệ men răng.

Viêm quanh cuống răng là bệnh lý phức tạp, đòi hỏi kỹ thuật điều trị chính xác. Khi phát hiện các dấu hiệu như đau nhức, răng đổi màu hay xuất hiện mụn mủ ở nướu, bạn cần đến ngay Nha khoa Shark để được thăm khám, chụp phim và điều trị kịp thời, tránh nguy cơ mất răng vĩnh viễn.






