Nhiều cha mẹ bất ngờ khi thấy răng trẻ xuất hiện những mảng hoặc đốm màu khác thường trên bề mặt răng sữa. Liệu đây chỉ là hiện tượng bình thường hay là dấu hiệu cảnh báo sức khỏe răng miệng? Nguyên nhân nào khiến răng trẻ bị trắng đục và cách xử lý thế nào để bảo vệ răng của bé luôn chắc khỏe? Cùng Nha Khoa Nhi khám phá câu trả lời qua bài viết dưới đây!
Tại sao răng trẻ bị trắng đục?
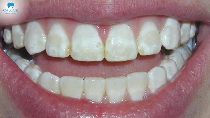
Răng trẻ bị trắng đục thường là biểu hiện của nhiễm fluor hoặc thiểu sản men răng. Các chẩn đoán khác bao gồm sâu răng giai đoạn đầu, yếu tố di truyền, hoặc tác dụng phụ từ một số loại thuốc. Tuy nhiên, việc tiếp xúc fluoride quá mức, đặc biệt qua lượng kem đánh răng nuốt phải không được kiểm soát trong giai đoạn hình thành răng vĩnh viễn là nguyên nhân phổ biến nhất. Song song đó, chế độ dinh dưỡng thiếu cân đối cũng là một yếu tố nguy cơ làm đục màu răng trẻ. Dưới đây là chi tiết hơn về các nguyên nhân gây ra tình trạng này:
Di truyền
Màu sắc và cấu trúc men răng có thể được di truyền từ cha mẹ sang con cái. Nếu ở bố mẹ có răng trắng đục, khả năng cao con cái cũng sẽ mắc phải tình trạng tương tự do di truyền.
Thiểu sản men răng
Thiểu sản men răng xuất phát từ tình trạng men răng không được hình thành đầy đủ về độ dày và cấu trúc, điều này làm cho răng trẻ bị trắng đục, dần trở nên mềm yếu và nhạy cảm.
Nhiễm fluor
Đây là nguyên nhân phổ biến ở nhiều trẻ, xảy ra khi trẻ tiếp xúc với lượng lớn fluor có trong nước uống hoặc kem đánh răng. Vấn đề này thường gặp trong giai đoạn trẻ đang hình thành men răng, dẫn đến các đốm trắng đục trên răng vĩnh viễn.

Sâu răng
Một trong những nguyên nhân phổ biến làm cho răng trẻ bị trắng đục đó là sâu răng. Tình trạng này xảy ra do vi khuẩn phân hủy mảng bám, tạo ra axit ăn mòn men răng, khiến răng trẻ mất khoáng chất và hình thành các đốm trắng đục.
Do sử dụng một số loại thuốc
Việc sử dụng quá nhiều thuốc kháng sinh hoặc sắt cũng là nguyên nhân gây ra tình trạng trẻ bị răng trắng đục. Điều này là do các hợp chất trong thuốc liên kết với canxi trong răng và xương đang phát triển, hình thành nên các tinh thể màu trắng đục ở răng trẻ em.
Cách khắc phục tình trạng răng bé bị trắng đục
Dựa vào từng nguyên nhân gây ra, các bác sĩ sẽ có cách khắc phục tình trạng răng trẻ bị trắng đục phù hợp. Dưới đây là một vài hướng xử lý tương ứng với từng trường hợp cụ thể:
- Trường hợp nhiễm fluor quá mức: Cần giảm lượng fluor nạp vào cơ thể của trẻ, bằng cách tránh sử dụng kem đánh răng có chứa fluor và cho trẻ uống nước có hàm lượng fluor thấp.
- Trường hợp thiểu sản men răng: Bổ sung dinh dưỡng đầy đủ, đảm bảo trẻ nhận được các vitamin cần thiết cho sự phát triển của răng miệng. Khi răng vĩnh viễn mọc lên, màu sắc răng ở trẻ sẽ trở lại bình thường.
- Trường hợp do di truyền: Nếu răng trẻ trắng đục do di truyền, bố mẹ nên chờ khi bé lớn và đủ tuổi để thực hiện can thiệp nha khoa như bọc, dán sứ thẩm mỹ.
- Trường hợp bị sâu răng: Đối với trường hợp này, bố mẹ nên đưa trẻ đến nha khoa để các bác sĩ loại bỏ mô răng bị sâu và tiến hành trám bít để ngăn chặn sự phát triển của sâu răng, đảm bảo sức khỏe răng miệng của trẻ. Tránh kéo dài vì có thể khiến trẻ bị sâu răng ăn vào tuỷ.

Phòng ngừa răng trẻ em bị trắng đục như thế nào?
Răng trẻ bị trắng đục sẽ ảnh hưởng trực tiếp đến thẩm mỹ và tiềm ẩn một số nguy cơ gây hại đến chức năng răng của trẻ. Do đó, để phòng ngừa tình trạng này, bố mẹ cần tham khảo áp dụng theo những cách dưới đây:
Chăm sóc, vệ sinh răng miệng đúng cách
Để không xảy ra tình trạng răng trẻ bị trắng đục, bố mẹ cần hướng dẫn bé cách vệ sinh răng miệng, thực hiện chăm sóc răng miệng cùng bé, cụ thể:
- Đánh răng 2 lần/ngày: Hướng dẫn bé cách đánh răng với bàn chải lông mềm sao cho đúng cách, thực hiện ít nhất 2 lần/ngày.
- Sử dụng chỉ nha khoa, tăm nước: Thức ăn ở kẽ răng, sâu trong hàm có thể không được làm sạch nếu chỉ dùng bàn chải thông thường, do đó bố mẹ nên tập cho bé sử dụng thêm chỉ nha khoa, tăm nước để làm sạch khoang miệng.
- Dùng kem đánh răng phù hợp: Bố mẹ cần lựa chọn sản phẩm và lượng kem đánh răng thích hợp với độ tuổi của trẻ nhằm giảm tiếp xúc với fluor. Ví dụ, kem đánh răng cho bé 1 tuổi cần đảm bảo an toàn khi bé chưa biết nhổ kem ra ngoài.
- Kiểm tra sức khỏe răng miệng định kỳ: Đưa trẻ đi khám nha khoa định kỳ 6 tháng/lần để được tư vấn và phát hiện sớm các vấn đề liên quan đến men răng và sức khỏe răng miệng tổng thể.

Điều chỉnh chế độ ăn uống
Ngoài việc chăm sóc, vệ sinh răng miệng đúng cách, phụ huynh cũng cần chú ý đến việc điều chỉnh trong chế độ ăn uống của trẻ để tránh cho răng trẻ bị trắng đục như sau:
- Hạn chế đồ ngọt, axit: Đường là nguồn thức ăn chính, có lợi cho vi khuẩn gây sâu răng và làm mòn men răng. Vì vậy, phụ huynh cần giảm thiểu cho bé sử dụng thực phẩm, đồ uống chứa nhiều đường, axit như nước ngọt có gas, kẹo hoặc trái cây có tính chất chua nhiều,…
- Bổ sung đầy đủ dinh dưỡng: Cung cấp cho trẻ các loại thực phẩm giàu canxi, vitamin D như sữa, phô mai, cá, trứng và vi chất để men và xương răng chắc khỏe.
- Khuyến khích trẻ uống nhiều nước: Điều này giúp làm sạch khoang miệng sau khi ăn và trung hoà axit do vi khuẩn tạo ra từ đồ ăn, thức uống.
Kiểm soát nguồn nước uống
Nguồn nước uống hàng ngày cũng là một trong những nguyên nhân ảnh hưởng đến răng trẻ bị trắng đục. Do đó để phòng ngừa trẻ mắc phải tình trạng này, phụ huynh nên kiểm tra nồng độ fluor có trong nước uống, đảm bảo không quá cao để tránh nguy cơ trẻ bị nhiễm fluor, làm đục màu răng.

Qua bài viết mà Nha khoa nhi vừa chia sẻ, có thể thấy tình trạng răng trẻ bị trắng đục không chỉ ảnh hưởng đến thẩm mỹ nụ cười, mà còn tiềm ẩn nguy cơ các bệnh lý răng miệng nghiêm trọng hơn. Do đó, các bậc phụ huynh nếu có con em mắc phải tình trạng này, cần đưa trẻ đến nha khoa thăm khám, xử lý sớm để bảo vệ sức khỏe răng miệng toàn diện của trẻ.






