Hành trình khách hàng điều trị tại Nha khoa Shark
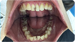
Sau khi chụp X-quang và quan sát trực tiếp,
răng của Ngân đang gặp các vấn đề nghiêm trọng
Hàm trên mất 2 răng do tai nạn giao thông, và 2 năm sau, chân của 2 răng bị lủng, gãy
8 răng bị hư cần điều trị tủy: Răng số 15, 12, 21, 22, 25, 31, 41, 45
Hàm dưới 10 chân răng bị hư nặng, mất chân răng, cần phải nhổ răng số 11, 17, 16, 25, 27, 26, 37, 38, 46, 47
Gớm xoang thấp, cần điều trị nâng xoang
- Nhổ 10 chân răng
- Điều trị tuỷ 8 răng trong đó có 3 răng cần phải tái tạo lại cùi giả
- Trám theo dõi 1 răng
- Bọc sứ 16 răng (Trên 6 răng, dưới 10 răng) với sứ Zirco
- Ghép 2,5g xương, nâng xoang hở 2 bên, 2 màng xương lớn, 2 màng PRF
- Hàm trên: Ghép 4 trụ Implant Bio3
- Hàm dưới: Ghép 3 trụ Implant Bio3
- Phục hình 7 răng sứ trên Implant với sứ Zirco
Tìm Lại Nụ Cười – Phần 6: Tiếp tục cuộc hành trình để hoàn thiện nụ cười cho Bảo Ngân
Tìm Lại Nụ Cười – Phần 5: Thành quả cho những nỗ lực của Ngân, tăng 2 ký và nụ cười đã quay lại
Tìm Lại Nụ Cười – Phần 4: CHỮA LÀNH tâm lý cho Bảo Ngân. Em đã sẵn sàng điều trị bệnh lý
Tìm Lại Nụ Cười – Phần 3: Nha Khoa Shark KẾT NỐI giúp Bảo Ngân vượt qua rào cản tâm lý
Tìm Lại Nụ Cười – Phần 2: Thách thức đến ngay ở những ngày đầu tiên của quá trình điều trị
Tìm Lại Nụ Cười – Phần 1: Gặp gỡ cô bé Bảo Ngân

