Chữa tụt lợi giá bao nhiêu tiền là băn khoăn của nhiều người khi đối mặt với tình trạng ê buốt, mất thẩm mỹ và nguy cơ mất răng. Chi phí này không cố định, thường dao động từ 500.000 – 10.000.000 VNĐ, phụ thuộc vào mức độ nặng nhẹ và phương pháp điều trị. Cùng Góc kiến thức nha khoa tìm hiểu chi tiết các yếu tố ảnh hưởng và giải pháp điều trị hiệu quả nhất.
Tụt lợi là gì?
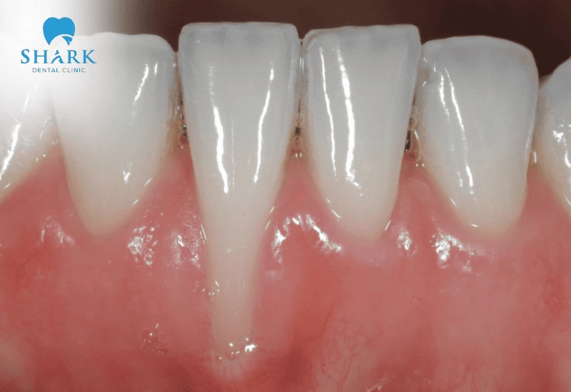
Tụt lợi hay còn gọi là tụt nướu là tình trạng nướu bị viêm, sưng đỏ, chảy máu và dần dần tụt khỏi răng. Khi đó răng có thể trở nên dài hơn, nhạy cảm và dễ ê buốt. Tụt lợi không chỉ gây ảnh hưởng đến thẩm mỹ mà còn khiến nhiều người lo lắng chữa tụt lợi giá bao nhiêu tiền, bởi đây có thể là dấu hiệu của bệnh lý nha chu nếu không được điều trị sớm.
Nhận biết sớm các dấu hiệu bị tụt lợi có thể được điều trị kịp thời, ngăn ngừa biến chứng và bảo vệ sức khỏe răng miệng lâu dài. Các dấu hiệu thường gặp khi bị tụt nướu như:
- Chân răng lộ rõ, trông dài hơn bình thường.
- Nướu sưng đỏ, đau nhức khi chạm vào.
- Răng ê buốt, nhạy cảm khi ăn đồ nóng hoặc lạnh.
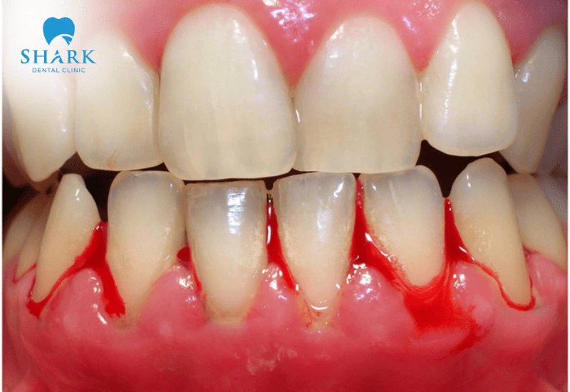
- Dễ chảy máu chân răng khi đánh răng hoặc dùng chỉ nha khoa.
- Hơi thở có mùi hôi kéo dài.
- Răng lung lay hoặc thưa dần (trường hợp đã tiến triển nặng).

Tại sao bị tụt lợi?
Tụt lợi có thể xuất phát từ nhiều nguyên nhân khác nhau, bao gồm bệnh lý răng miệng đến thói quen sinh hoạt hằng ngày. Việc biết rõ nguyên nhân sẽ giúp bạn có cách phòng ngừa và điều trị kịp thời. Một số nguyên nhân dẫn đến lợi bị tụt như:
Các bệnh lý về răng miệng
Những bệnh lý về răng miệng như viêm nha chu, viêm nướu hay viêm quanh răng nguyên nhân hàng đầu khiến cho lợi bị tụt. Nướu bị viêm nhiễm sẽ tạo điều kiện cho vi khuẩn phát làm nướu bị suy yếu và dần tụt khỏi chân răng, nếu không điều trị sớm có thể gây mất răng.
Vệ sinh răng miệng không đúng cách
Vệ sinh răng miệng kém cũng là một nguyên nhân phổ biến làm rụng nướu. Chải răng quá mạnh, dùng bàn chải lông cứng hay chải răng sai hướng có thể làm tổn thương mô nướu, gây mòn men răng và khiến nướu co lại theo thời gian. Không vệ sinh răng miệng kỹ khiến các mảng bám tích tụ, hình thành cao răng, tạo điều kiện cho vi khuẩn phát triển dẫn đến tụt lợi chân răng.
Mất xương ổ răng
Khi xương ổ răng bị tiêu do di truyền, dinh dưỡng kém hoặc bệnh lý nha chu, phần chân răng sẽ lộ ra, khiến nướu mất điểm tựa và dần tụt xuống. Tình trạng mất xương ổ răng càng nặng thì tình trạng tụt lợi càng nghiêm trọng, thậm chí có thể khiến răng lung lay hoặc rụng sớm.
Yếu tố di truyền
Một số người có cấu trúc nướu mỏng do di truyền, khiến nướu dễ bị tụt hơn dù chăm sóc răng miệng đúng cách. Nếu trong gia đình có người từng bị tụt lợi thì khả năng bạn gặp phải tình trạng này cũng rất cao. Yếu tố di truyền có thể xác định độ bền của men răng cũng như khả năng đề kháng trước các bệnh lý răng miệng như viêm nướu hay sâu răng.
Thói quen xấu
Các thói quen như nghiến răng, cắn chặt răng, cắn các đồ vật cứng như bút, hút thuốc lá hay dùng tăm xỉa răng thường xuyên đều có thể gây tổn thương mô nướu, làm hỏng men răng và mất răng. Lâu dần, chúng không chỉ làm yếu cấu trúc răng mà còn tăng nguy cơ viêm nướu, tụt lợi và nhiều vấn đề răng miệng khác.
Sự thay đổi hoocmon
Sự thay đổi hoocmon không chỉ gây ra những biến đổi bên trong cơ thể mà còn ảnh hưởng đến răng miệng. Đặc biệt, phụ nữ trong các giai đoạn dậy thì, mang thai, cho con bú hoặc mãn kinh thường bị thay đổi nội tiết tố. Sự biến động hormone estrogen và progesterone khiến nướu trở nên nhạy cảm hơn, dễ sưng, viêm và dẫn đến tụt lợi thậm chí là ảnh hưởng đến cấu trúc hàm răng.

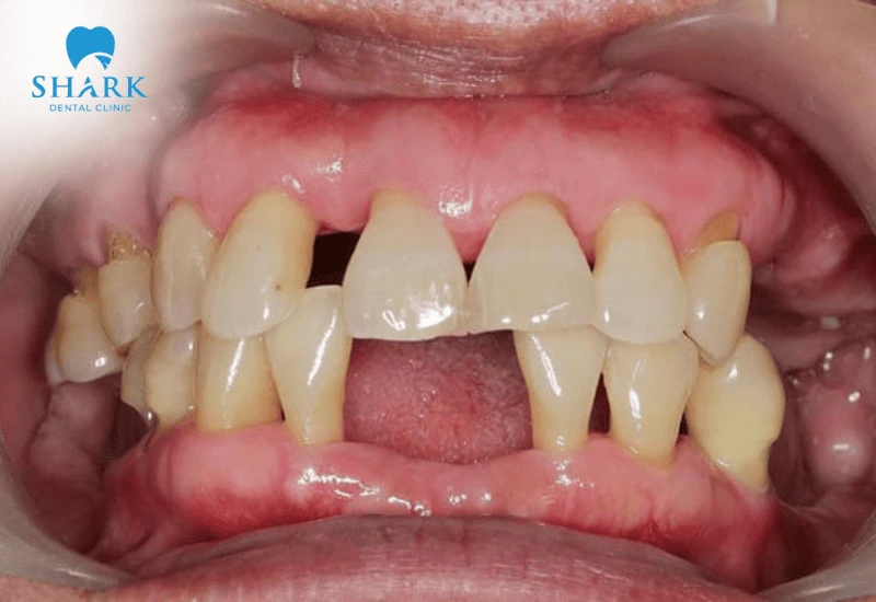
Tụt lợi có nguy hiểm không?
Đây cũng là thắc mắc của rất nhiều người bên cạnh câu hỏi chữa tụt lợi giá bao nhiêu tiền. Tụt lợi không chỉ ảnh hưởng đến thẩm mỹ mà còn tiềm ẩn nhiều biến chứng nguy hiểm, ảnh hưởng trực tiếp đến sức khỏe răng miệng nếu không được phát hiện và điều trị sớm. Một số biến chứng nguy hiểm khi bị tụt nướu như:
- Răng nhạy cảm, ê buốt: Nướu tụt khiến răng bị lộ ra bên ngoài và không được men răng bảo vệ. Điều này thường khiến răng bị nhạy cảm và ê buốt khi tiếp xúc với đồ nóng, lạnh hoặc chua.
- Nguy cơ mất răng: Tụt lợi làm suy yếu cấu trúc nâng đỡ răng, đặc biệt là xương ổ răng khiến răng bị lung lay hoặc rụng sớm. Đây là một trong những biến chứng nghiêm trọng của tụt lợi nếu không được điều trị sớm.
- Viêm nướu và viêm nha chu: Khi lợi bị tụt, vi khuẩn sẽ dễ tích tụ và phát triển ở khoảng trống giữa răng và nướu. Lâu dần, sẽ dẫn đến tình trạng viêm nướu, viêm nha chu, khiến mô nướu sưng đỏ, chảy máu và đau nhức.
- Tủy đau nhức: Phần chân răng lộ ra khi bị tụt nướu khiến vi khuẩn dễ xâm nhập vào cấu trúc răng làm tủy đau nhức khi đánh răng hoặc gây viêm tủy răng.
- Hôi miệng: Các mảng bám thức ăn thừa sẽ tích tụ tại khoảng trống giữa chân răng và nướu, tạo điều kiện cho vi khuẩn phát triển, sinh ra mùi hôi khó chịu.
- Biến chứng toàn thân: Nhiễm trùng từ nướu có thể lây lan sang các cơ quan khác trong cơ thể. Dẫn đến nguy cơ cao mắc các bệnh tim mạch, tiểu đường, viêm khớp và sinh non ở phụ nữ mang thai.

Chữa tụt lợi giá bao nhiêu tiền?
Một trong những thắc mắc được nhiều người quan tâm khi gặp phải tình trạng này chính là chữa tụt lợi giá bao nhiêu tiền. Trên thực tế, chi phí thực hiện thường rơi vào khoảng 500.000 VNĐ – 10.000.000 VNĐ tùy thuộc vào mức độ tụt của lợi và điều kiện của khách hàng.
Tùy vào mức độ tụt lợi, vị trí răng bị ảnh hưởng cũng như nhu cầu thẩm mỹ mà bác sĩ sẽ lựa chọn phương pháp điều trị phù hợp nhất. Mỗi kỹ thuật được áp dụng theo tình trạng cụ thể của từng khách hàng như:
Cạo vôi răng và vệ sinh răng miệng chuyên sâu
Chi phí cạo vôi răng thường giao động từ 200.000 VNĐ – 500.000 VNĐ/lần tùy vào số lượng cao răng nhiều hay ít. Đây là bước điều trị cơ bản, áp dụng cho tình trạng lợi bị tụt nhẹ, giúp loại bỏ mảng bám, vi khuẩn tích tụ quanh nướu và ngăn ngừa tình trạng tụt lợi tiến triển nặng hơn.
Hàn trám cổ răng
Giá hàn trám khoảng 500.000 VNĐ/răng, dành cho những trường hợp tụt lợi khiến cổ răng bị khuyết. Kỹ thuật này giúp phục hồi bề mặt răng, giảm ê buốt và hạn chế tổn thương lan rộng, đồng thời cải thiện tính thẩm mỹ cho hàm răng.
Phẫu thuật ghép lợi
Phẫu thuật ghép lợi giao động từ 5.000.000 VNĐ – 10.000.000 VNĐ tùy vào phạm vi và kỹ thuật ghép lợi. Đây là phương pháp điều trị chuyên sâu, giúp phục hồi phần mô nướu bị tiêu biến, phù hợp cho những ca tụt lợi nặng hoặc mất mô lợi nghiêm trọng.
Bọc răng sứ
Áp dụng cho trường hợp tụt lợi không quá nặng nhưng gây mất thẩm mỹ, giúp che phủ phần chân răng lộ ra và giảm ê buốt hiệu quả. Chi phí dao động theo loại sứ, thường từ 1.500.000 VNĐ – 7.000.000 VNĐ/răng tùy chất liệu và công nghệ chế tác.

Yếu tố quyết định đến giá điều trị tụt lợi
Chi phí chữa tụt lợi không cố định mà còn phụ thuộc vào nhiều yếu tố khác nhau. Để xác định chính xác chữa tụt lợi bao nhiêu tiền, bạn cần nắm rõ những yếu tố ảnh hưởng đến chi phí dưới đây:
- Tình trạng răng miệng: Nếu người bệnh điều trị tụt lợi ở giai đoạn nhẹ có chi phí thấp hơn so với những trường hợp lợi bị tụt nghiêm trọng, kẽ hở lớn, viêm nhiễm lan rộng kèm theo tiêu xương.
- Phương pháp điều trị: Tùy thuộc vào từng tình trạng mà bác sĩ sẽ chỉ định phương pháp trị từ đơn giản như cạo vôi răng đến phức tạp hơn như phẫu thuật ghép nướu. Phương pháp càng chuyên sâu, yêu cầu kỹ thuật cao thì chi phí chữa tụt lợi sẽ càng tăng.
- Cơ sở nha khoa thực hiện: Mỗi nha khoa sẽ có chính sách, chi phí chữa trị khác nhau tùy theo chất lượng dịch vụ, trang thiết bị, mức độ uy tín,… dẫn đến sự chênh lệch về chi phí điều trị.
- Kinh nghiệm, chuyên môn của bác sĩ: Những bác sĩ có chuyên môn, trình độ cao trong lĩnh vực chữa tụt lợi sẽ giúp đảm bảo an toàn và thẩm mỹ hơn. Vì vậy, chi phí điều trị của các bác sĩ này sẽ cao hơn so với những bác sĩ thông thường.

Nên chữa tụt lợi ở đâu?
Tụt lợi là một tình trạng khá phổ biến, không chỉ gây mất thẩm mỹ mà còn ảnh hưởng nghiêm trọng đến sức khỏe răng miệng nếu không được điều trị kịp thời. Do vậy, nhiều người không chỉ quan tâm chữa tụt lợi giá bao nhiêu tiền mà còn băn khoăn đâu là địa chỉ điều trị uy tín, an toàn và mang lại hiệu quả lâu dài.
Nha Khoa Shark là một trong những địa chỉ uy tín hàng đầu trong lĩnh vực chăm sóc và điều trị các bệnh về răng miệng, đặc biệt nổi bật với dịch vụ chữa tụt lợi an toàn, hiệu quả và thẩm mỹ cao.
Quy trình điều trị tụt lợi được thực hiện bởi đội ngũ bác sĩ có chuyên môn cao cùng trang thiết bị hiện đại giúp phục hồi mô nướu, bảo vệ chân răng và ngăn ngừa biến chứng tái phát. Tùy theo từng mức độ tụt lợi, bác sĩ tại Shark sẽ chỉ định những phương pháp phù hợp để đảm bảo mang lại kết quả tối ưu cho khách hàng.

Ngoài ra, Nha Khoa Shark còn áp dụng công nghệ tiên tiến, kết hợp hệ thống vô trùng chuẩn quốc tế, giúp quá trình chữa tụt lợi diễn ra nhẹ nhàng, rút ngắn thời gian phục hồi. Nhờ quy trình điều trị chuyên nghiệp và chăm sóc tận tâm, khách hàng sau khi chữa tụt lợi tại Nha Khoa Shark không chỉ lấy lại nụ cười khỏe đẹp mà còn duy trì được mô nướu săn chắc, bền vững theo thời gian.

Thông qua bài viết, Góc kiến thức nha khoa đã giúp bạn trả lời được câu hỏi chữa tụt lợi giá bao nhiêu tiền cũng như các yếu tố ảnh hưởng đến chi phí chữa trị. Nếu bạn đang gặp tình trạng nướu tụt hoặc có dấu hiệu bất thường ở răng lợi, hãy đến Nha Khoa Shark để được đội ngũ bác sĩ thăm khám và điều trị kịp thời, cam kết mang lại hiệu quả phục hồi tối ưu và thẩm mỹ cao.
Lấy Code






