Lợi bị tách khỏi răng không chỉ gây mất thẩm mỹ mà còn là dấu hiệu cho thấy sức khỏe răng miệng đang gặp vấn đề nghiêm trọng. Vấn đề này khiến răng yếu đi, dễ lung lay và dẫn đến nhiều biến chứng nguy hiểm nếu không được điều trị kịp thời. Trong bài viết này, Góc kiến thức nha khoa sẽ giúp bạn tìm hiểu nguyên nhân và cách khắc phục kịp thời tình trạng lợi bị tách khỏi răng để bảo vệ sức khỏe răng miệng.
Lợi bị tách khỏi răng là gì?
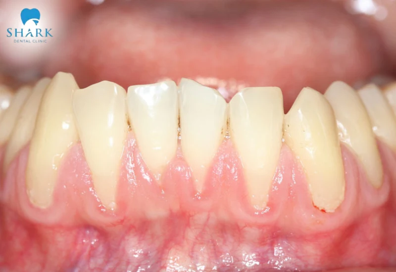
Lợi bị tách khỏi răng (hay còn gọi là lợi rụng) là hiện tượng lợi bị rụng chân răng, tạo khoảng trống giữa răng và lợi. Khoảng trống này sẽ trở thành nơi tích tụ của vi khuẩn và mảng bám thức ăn gây ra nhiều vấn đề về sức khỏe răng miệng như viêm nha chu, tiêu xương ổ răng, thậm chí là mất răng.
Tụt lợi có thể xảy ra ở một vài răng thậm chí là cả một hàm răng trên hoặc răng dưới, dễ gặp nhất là ở hàm dưới và răng nanh. Những triệu chứng khi lợi không bám vào răng rất khó phát hiện, thậm chí là không có. Một số trường hợp có các dấu hiệu như chảy máu chân răng không cầm được, viêm nướu, hơi thở có mùi,… Vì vậy, việc khám răng định kỳ là rất quan trọng để được phát hiện và điều trị kịp thời.

Nguyên nhân lợi không bám vào chân răng
Có nhiều nguyên nhân dẫn đến tình trạng lợi không bám vào chân răng. Việc hiểu rõ nguyên nhân sẽ giúp bạn có hướng khắc phục kịp thời, tránh bệnh tình chuyển biến nặng hơn. Dưới đây là một số nguyên nhân dẫn bị rụng lợi:
Bệnh lý về răng miệng
Một số bệnh lý như viêm nướu, viêm nha chu, viêm cuống răng, nang chân răng.. làm suy yếu sự liên kết giữa răng và nướu dẫn đến tình trạng lợi không bám dính vào răng. Nếu không được điều trị kịp thời sẽ ảnh hưởng đến sức khỏe.
Vệ sinh răng miệng không đúng cách
Các mảng bám thức ăn không được vệ sinh kỹ tạo thành lớp cao răng bám dính lên chân răng khiến răng bị đen ở mặt trong, gây viêm nhiễm nướu và hở lợi. Bên cạnh đó, việc chải răng hay dùng chỉ nha khoa quá mạnh sẽ gây tổn thương đến mô nướu, làm lợi co rút và không còn bám chắc vào răng.
Thiếu Vitamin và khoáng chất
Thiếu hụt vitamin và khoáng chất, đặc biệt là vitamin C, D,… khiến cho nướu bị yếu và lợi bị tách khỏi răng.
Do thói quen xấu
Việc xỉa tăm tre, cắn vật cứng hay nghiến răng quá thường xuyên cũng làm cho nướu bị tổn thương và bị tụt dần theo thời gian. Hút thuốc lá cũng làm cho máu lưu thông kém, kẽ răng bị hôi, làm nướu suy yếu và khiến lợi dễ bị tổn thương.
Vị trí mọc răng bất thường
Răng mọc lệch lạc, chen chúc, lệch khớp cắn gây ma sát quá mức lên nướu. Áp lực lâu dần sẽ làm mô nướu bị tổn thương và tụt dần theo thời gian, khiến lợi bị tách khỏi răng.
Thay đổi hoocmon (nữ giới)
Trong giai đoạn dậy thì, mang thai hay tiền mãn kinh có thể làm thay đổi nội tiết tố khiến nướu nhạy cảm và dễ tổn thương, làm lợi bị tách khỏi răng.
Chấn thương mô nướu thương mô nướu
Chấn thương bên ngoài như ngã, va đập, tai nạn có thể làm tổn thương mô nướu, khiến lợi co rút và không bám chắc vào chân răng. Những tác động mạnh này đôi khi gây rách mô mềm sâu, dẫn đến tình trạng chảy máu chân răng không cầm được. Nếu không được xử lý cầm máu và khâu phục hồi sớm sẽ dẫn đến viêm nướu và khiến lợi bị tách khỏi răng vĩnh viễn.
Do di truyền
Các bệnh lý răng miệng có thể truyền từ đời này sang đời khác. Nếu cha mẹ có người từng bị tụt nướu hay nướu mỏng cũng có nguy cơ di truyền cho con cái.

>>> Xem thêm: Chữa tụt lợi giá bao nhiêu tiền?
Cách điều trị tình trạng lợi không bám vào chân răng
Khi gặp dấu hiệu bị tụt lợi, không nên chủ quan mà phải đến nha khoa điều trị sớm để tránh viêm nhiễm và những chuyển biến nghiêm trọng hơn. Dưới đây là một số phương pháp điều trị được nhiều nha khoa áp dụng hiện nay:
Điều trị không phẫu thuật
Phương pháp này thường áp dụng cho những trường hợp lợi bị tụt nhẹ, chân răng chưa lộ quá nhiều, chưa có dấu hiệu tiêu xương hoặc viêm nha chu lan rộng. Cụ thể như:
- Lấy cao răng: Lấy cao răng giúp loại bỏ các mảng và vi khuẩn tích tụ quanh chân răng, ngăn ngừa tình hở lợi do cao răng gây ra. Dựa vào phân độ cao răng, bác sĩ sẽ xác định mức độ bám của cao răng để lựa chọn kỹ thuật làm sạch phù hợp. Giúp phòng ngừa các bệnh lý về răng miệng khác như viêm nướu, viêm nha chu,…
- Trám răng: Trám răng giúp phục hồi hình dạng răng ban đầu, bảo vệ chân răng và hạn chế tình trạng lợi bị tách khỏi răng diễn biến nặng hơn.
- Dùng gel ngậm flour hoặc thuốc trị viêm lợi: Flour giúp tái khoáng răng, tăng cường men răng và giảm ê buốt hiệu quả ở vùng bị tụt lợi. Ngoài ra, có thể sử dụng kết hợp thuốc trị viêm lợi theo chỉ định của bác sĩ để giảm sưng, tiêu viêm và kiểm soát vi khuẩn trong khoang miệng.
- Thay đổi thói quen vệ sinh răng miệng: Nên chải răng nhẹ nhàng dọc theo chân răng để tránh làm tổn thương nướu. Dùng kết hợp với chỉ nha khoa, nước súc miệng không cồn hoặc nước muối sinh lý để chống tụt lợi và ngăn ngừa vi khuẩn tích tụ, phát triển.
Điều trị phẫu thuật
Đối với các ca tụt lợi nặng, lợi mỏng, tiêu xương hoặc chân răng hở nhiều, bác sĩ sẽ chỉ định các phương pháp điều trị phẫu thuật nhằm tái tạo mô nâng đỡ răng.
- Nạo túi nha chu: Bác sĩ sẽ tách nhẹ mô nướu, loại bỏ hoàn toàn cao răng, mô viêm và vi khuẩn bên trong túi nha chu. Sau đó, nướu được khâu lại để ôm sát chân răng hơn. Phương pháp này giúp làm sạch vùng viêm, ngăn ngừa tiêu xương và hỗ trợ mô nướu bám chắc trở lại.
- Phẫu thuật ghép nướu: Kỹ thuật này giúp khắc phục tình trạng chân răng bị lộ do lợi mỏng hoặc tụt lợi nghiêm trọng. Bác sĩ sẽ sử dụng mô ghép lấy từ vòm miệng để tái tạo phần nướu đã mất. Phương pháp này không chỉ làm dày mô nướu, bảo vệ chân răng mà còn mang lại tính thẩm mỹ tự nhiên cho nụ cười.
- Phẫu thuật tái tạo mô xương: Phương pháp này được áp dụng khi tình trạng tụt lợi đi kèm với tiêu xương ổ răng. Sau khi làm sạch toàn bộ vùng tổn thương, bác sĩ sẽ đặt một lớp màng sinh học chuyên dụng nhằm ngăn mô mềm xâm lấn vào vùng xương đang phục hồi.

Biện pháp phòng ngừa lợi tách khỏi răng
Để tránh gặp phải triệu chứng lợi bị tách khỏi răng, việc điều trị sớm là điều cần thiết nhưng quan trọng hơn vẫn phải chủ động phòng ngừa ngay từ đầu. Một số phương pháp để phòng ngừa tụt lợi như:
- Vệ sinh răng miệng đúng cách: Chải răng nhẹ nhàng bằng bàn chải lông mềm ít nhất 2 lần/ngày. Kết hợp sử dụng chỉ nha khoa và tăm nước để loại bỏ các mảng bám trên răng, ngăn ngừa vi khuẩn phát triển. Ngoài ra, nên sử dụng nước súc miệng và cạo lưỡi thường xuyên để làm giảm vi khuẩn trong khoang miệng, giữ nướu luôn khỏe mạnh.
- Chế độ sinh hoạt khoa học: Cần hạn chế thuốc lá, rượu bia và thực phẩm chứa nhiều đường để tránh làm tổn thương mô nướu. Đồng thời, bổ sung vitamin C, D, canxi và kẽm giúp mô nướu chắc khỏe và tái tạo tốt hơn. Việc duy trì giấc ngủ đầy đủ, giảm căng thẳng cũng góp phần cân bằng nội tiết, hạn chế nguy cơ viêm lợi.
- Chăm sóc nha khoa định kỳ: Khám răng định kỳ 6 tháng/lần giúp phát hiện sớm các dấu hiệu lợi bị tách khỏi răng, viêm nướu hoặc vôi răng tích tụ, ngăn ngừa lợi tách khỏi răng và giúp bảo vệ sức khỏe răng miệng tổng thể lâu dài.
>>> Xem thêm: Nước súc miệng Dental Care có tốt không

Tóm lại, tình trạng lợi bị tách khỏi răng không chỉ ảnh hưởng đến thẩm mỹ mà còn là dấu hiệu cảnh báo tình trạng sức khỏe răng miệng gặp nguy hiểm. Việc chủ động phát hiện sớm và điều trị kịp thời là yếu tố quan trọng giúp bảo vệ răng và ngăn ngừa những biến chứng nặng hơn. Góc kiến thức nha khoa khuyên rằng nếu bạn đang có dấu hiệu tụt lợi hay hở chân răng, hãy đến Nha Khoa Shark để được tư vấn và đưa ra giải pháp điều trị an toàn, hiệu quả.






