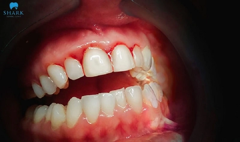
Chảy máu chân răng không cầm được là dấu hiệu cảnh báo sức khỏe răng miệng đang gặp nguy hiểm nghiêm trọng cần xử lý ngay lập tức. Đừng chủ quan bỏ qua triệu chứng này vì có thể dẫn đến nhiều biến chứng khó lường về sau. Bài viết dưới đây từ Góc kiến thức nha khoa sẽ phân tích chi tiết nguyên nhân, cách xử lý khẩn cấp và biện pháp phòng ngừa hiệu quả nhất dành cho bạn.
Nguyên nhân chân răng bị chảy máu liên tục không ngừng
Khi gặp phải tình trạng chảy máu chân răng không cầm được, nhiều người thường nảy sinh tâm lý lo lắng, sợ hãi. Nhưng điều mà bạn cần làm lúc này là bình tĩnh tìm hiểu các nguyên nhân gây ra để từ đó có hướng xử lý phù hợp. Cụ thể như sau:
- Viêm nha chu, viêm lợi: Mảng bám và vi khuẩn gây viêm phá hủy mô nướu, làm mạch máu nhạy cảm, dễ vỡ và chảy máu kéo dài.
- Do hút thuốc lá: Khói thuốc làm suy yếu hệ miễn dịch, giảm khả năng đông máu và khiến nướu dễ tổn thương, chảy máu liên tục.
- Bệnh tiểu đường: Đường huyết cao làm mạch máu kém lưu thông, nướu thiếu dinh dưỡng, dễ viêm và xuất huyết kéo dài.
- Bệnh bạch cầu: Giảm tiểu cầu làm suy yếu khả năng đông máu, dẫn đến tình trạng chảy máu nướu và niêm mạc khó kiểm soát.
- Bệnh giảm tiểu cầu: Thiếu tiểu cầu khiến máu khó đông, khiến chân răng dễ chảy máu và xuất huyết ở các vùng niêm mạc khác.
- Bệnh máu khó đông và bệnh Von Willebrand: Thiếu yếu tố đông máu làm máu chảy không ngừng dù tổn thương nhỏ, gây nguy hiểm nếu không điều trị kịp thời.
- Thiếu vitamin C và vitamin K: Đây là hai loại vitamin cần thiết cho cơ thể, việc thiếu hụt sẽ khiến máu khó đông, dẫn đến chảy máu răng kéo dài.
- Tác dụng phụ của thuốc: Chảy máu chân răng không cầm được do một số thuốc chống đông hoặc aspirin làm loãng máu, khiến nướu dễ chảy máu và khó cầm.

Cần làm gì khi chảy máu chân răng không cầm được?
Chảy máu chân răng liên tục không cầm được gây ra nhiều cản trở trong đời sống sinh hoạt và tiềm ẩn nhiều yếu tố đe dọa đến sức khỏe tổng thể. Khi gặp phải tình trạng này, bạn có thể xử lý theo những cách dưới đây:
Sử dụng gạc cầm máu
Dùng gạc sạch ép lên vùng bị chảy máu, giữ cho đến khi máu ngừng chảy. Đây là thao tác cơ bản và hiệu quả, thường được biết đến như một cách cầm máu sau khi nhổ răng phổ biến nhất. Tuy nhiên, cách làm này sẽ không hiệu quả cao cho những ai mắc chứng rối loạn đông máu hoặc có hệ miễn dịch suy yếu.
Ngưng hút thuốc
Thuốc lá là một trong những nguyên nhân gây ra tình trạng chảy máu chân răng không cầm được. Do đó nếu bạn đang có thói quen xấu này, hãy ngừng lại để máu được đông lại nhanh hơn.
Dùng nước súc miệng diệt khuẩn
Các chất kháng khuẩn có trong nước súc miệng giúp chống viêm, tiêu diệt vi khuẩn và ngăn ngừa tình trạng viêm nướu. Bên cạnh đó còn giúp hỗ trợ quá trình đông máu diễn ra nhanh chóng.
Chườm đá lạnh
Bọc đá lạnh vào miếng vải khô, sạch, chườm bên ngoài vùng má tổn thương, giúp co mạch, giảm sưng và giảm tình trạng chảy máu.

Bổ sung sắt, vitamin C, vitamin K cho cơ thể
Nên bổ sung các thực phẩm giàu sắt hoặc dùng viên uống sắt để bù đắp lượng sắt đã mất do mất máu. Đồng thời, tăng lượng vitamin C, vitamin K cho cơ thể cũng là cách giúp giảm tình trạng chảy máu chân răng.
Đến bệnh viện thăm khám
Nếu tình trạng chảy máu không cải thiện, mà ngày càng nặng hơn, bạn cần đến gặp bác sĩ ngay để được xử lý kịp thời. Tại đây, bác sĩ sẽ xác định nguyên nhân và đưa ra phác đồ điều trị phù hợp, ví dụ như nạo túi nha chu nếu phát hiện tình trạng viêm nhiễm nghiêm trọng, tránh để xảy ra những biến chứng nguy hiểm cho sức khỏe.
Chảy máu chân răng không ngừng có nguy hiểm không?
Câu trả lời là CÓ. Thậm chí đây là một tình trạng đáng lo ngại nếu như không được xử lý kịp thời. Khi cơ thể mất đi một lượng máu cần thiết, hệ tuần hoàn sẽ bị ảnh hưởng, gây rối loạn lưu thông máu và suy giảm chức năng nuôi dưỡng tế bào.
Nếu tình trạng xuất huyết kéo dài mà không có biện pháp điều trị, bạn có thể mất máu nhiều trong thời gian dài, dẫn đến mệt mỏi, chóng mặt, đau đầu và suy nhược cơ thể. Do đó, việc tìm ra nguyên nhân và can thiệp sớm là vô cùng quan trọng để bảo vệ sức khỏe răng miệng và toàn thân.
>>> Xem thêm: Chảy máu chân răng có phải ung thư không?

Biện pháp phòng ngừa chảy máu chân răng không cầm được
Dưới đây là một số biện pháp giúp bạn phòng ngừa được tình trạng chảy máu chân răng liên tục không cầm được, qua đó duy trì sức khỏe răng miệng khỏe mạnh.
- Vệ sinh răng miệng: Đánh răng và dùng chỉ nha khoa đúng cách, duy trì thói quen đánh răng 2 lần/ngày.
- Thay bàn chải sau 3 tháng sử dụng: Để hạn chế chảy máu chân răng, bạn nên dùng bàn chải lông mềm và cần thay 3 tháng/lần nếu lông bàn chải đã bị sờn cứng.
- Súc miệng với nước muối: Muối có tính sát khuẩn, kháng viêm cao, bạn có thể dùng nước muối để súc miệng sau khi ăn để loại bỏ những mảng bám và vi khuẩn gây nhiễm trùng.
- Thiết lập thực đơn dinh dưỡng: Bổ sung vitamin C, K từ rau xanh, trái cây để tăng cường sức khỏe cho nướu. Tăng cường thực phẩm giàu canxi như sữa, hạnh nhân để giúp răng và xương chắc khoẻ.
- Tránh xa các tác nhân gây hại: Hạn chế hoặc ngừng hẳn việc hút thuốc lá. Đồng thời tránh tiêu thụ nhiều đường và đồ uống có ga để tránh vi khuẩn phát triển trong khoang miệng:
- Khám nha khoa 6 tháng/lần: Chủ động đến nha khoa thăm khám và lấy cao răng định kỳ. Điều này sẽ giúp bảo vệ sức khoẻ răng miệng tối đa, phát hiện sớm những vấn đề răng miệng từ đó xử lý kịp thời.

Qua bài viết mà Góc kiến thức nha khoa vừa chia sẻ, có thể thấy chảy máu chân răng không cầm được là một dấu hiệu ngầm cảnh báo đến một vấn đề nghiêm trọng của sức khỏe. Khi gặp phải tình trạng này, bạn nên bình tĩnh tìm các biện pháp xử lý ,sau khi tình trạng khẩn cấp đã được kiểm soát, hãy sắp xếp thời gian đến gặp bác sĩ ngay để được thăm khám, điều trị triệt để nguyên nhân gây ra.






