Răng nhiễm Tetracycline là một trong những vấn đề răng miệng khó khắc phục nhất, khiến màu răng bị sẫm và loang lổ. Nguyên nhân xuất phát từ việc dùng thuốc kháng sinh Tetracycline, tuy nhiên, với công nghệ nha khoa hiện đại, tình trạng này hoàn toàn có thể được khắc phục. Cùng Mẹo làm trắng răng tìm hiểu nguyên nhân, dấu hiệu và cách điều trị hiệu quả nhất nhé!
Răng nhiễm tetracycline là gì?
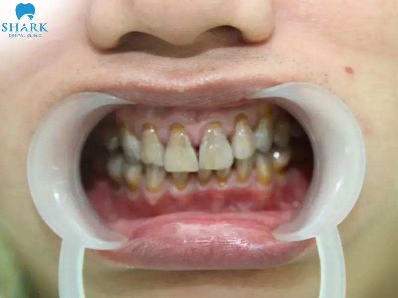
Răng nhiễm Tetracycline là tình trạng răng bị ố vàng, răng xỉn màu hoặc có các dải màu loang lổ do tác dụng phụ thuốc kháng sinh Tetracycline, thường xảy ra ở người mẹ đang thời kỳ mang thai và trẻ em dưới 8 tuổi trong giai đoạn răng và xương đang phát triển sử dụng thuốc khiến cho thuốc liên kết với canxi thấm sâu vào mô răng gây ảnh hưởng đến cấu trúc răng.
Khác với các vết ố vàng thông thường, tình trạng răng nhiễm Tetracycline làm cho màu răng sẫm màu từ bên trong nên các phương pháp tẩy trắng răng thông thường không thể loại bỏ hoàn toàn, gây ảnh hưởng nghiêm trọng đến thẩm mỹ và sự tự tin.

Các mức độ răng nhiễm Tetracycline
Răng nhiễm Tetracycline được chia thành các mức độ từ nhẹ đến nặng nếu mức độ càng cao, màu răng càng sẫm và khó tẩy trắng. Thông thường, răng nhiễm Tetracycline được chia thành 4 cấp độ chính như sau:
Cấp độ 1: Nhiễm màu nhẹ
Răng có màu vàng nhạt, xám nhạt hoặc phân bố không đồng đều có vài vệt trắng đục khó nhận ra bằng mắt, thường tập trung chủ yếu ở nhóm răng cửa. Ở giai đoạn này, có thể cải thiện bằng tẩy trắng răng chuyên sâu tại nha khoa.
Cấp độ 2: Nhiễm màu trung bình
Răng bắt đầu chuyển sang màu vàng đậm, nâu hoặc xám loang lổ, thường xuất hiện nhiều hơn nhưng chưa hình thành các dải màu rõ rệt chạy các dải màu ngang trên thân răng. Lúc này, việc tẩy trắng chỉ cải thiện một phần, cần kết hợp dán sứ veneer để che phủ hoàn hảo ít xâm lấn mô răng.
Cấp độ 3: Nhiễm màu nặng
Màu răng chuyển sang nâu sẫm, xám đen hoặc tím than, bề mặt men răng sần sùi, đặc biệt có sự xuất hiện của các dải màu ngang chạy dọc theo thân răng. Men răng bắt đầu có dấu hiệu suy yếu, kém bóng. Các phương pháp làm trắng thông thường hầu như không hiệu quả, bác sĩ thường chỉ định bọc răng sứ để phục hồi thẩm mỹ.
Cấp độ 4: Nhiễm màu rất nặng
Răng biến đổi cực kỳ đậm, thường là có màu xám đen toàn bộ, men răng mỏng, yếu, thậm chí bị vỡ hoặc mòn. Trường hợp này cần bọc sứ toàn hàm để vừa đảm bảo thẩm mỹ, vừa bảo vệ cùi răng thật bên trong.

Nguyên nhân răng nhiễm Tetracycline
Nguyên nhân chính khiến răng bị nhiễm màu là do cơ thể hấp thụ thuốc kháng sinh Tetracycline trong giai đoạn hình thành răng. Khi đó, thuốc kết hợp với canxi trong men và ngà răng, tạo ra các sắc sẫm màu khó loại bỏ.
Một số trường hợp phổ biến gồm:
- Sử dụng thuốc khi còn nhỏ: Trẻ em dưới 8 tuổi có răng và xương đang phát triển.
- Sử dụng trong thai kỳ: Người mẹ mang thai sử dụng thuốc trong quá trình thai kỳ.
- Tích tụ kháng sinh: Thuốc kháng sinh tetracycline tích tụ trong cấu trúc răng và liên kết với canxi trong men răng, dẫn đến biến đổi màu sắc vĩnh viễn.

Dấu hiệu răng nhiễm Tetracycline
Khác với các vết ố vàng do thực phẩm gây ra chỉ bám trên bề mặt, dấu hiệu dễ nhận thấy nhất khi răng nhiễm Tetracycline chính là có sự biến đổi trong cấu trúc ngà răng.
Một số biểu hiện cụ thể gồm:
- Răng chuyển đổi sang màu vàng, xanh, xám, đen sẫm hoặc màu răng loang lổ không đồng đều, chỗ đậm chỗ nhạt, dù vệ sinh kỹ hay tẩy trắng vẫn không cải thiện.
- Men răng suy yếu, dễ bị sâu, ở mức độ nặng có thể xuất hiện vết nứt hoặc lỗ nhỏ li ti.
- Khi chiếu đèn tia cực tím hoặc ánh sáng xanh tại nha khoa, răng bị nhiễm Tetracycline sẽ phát sáng thường có màu vàng.

Răng nhiễm tetracycline có tẩy được không?
Đây là câu hỏi khiến nhiều người băn khoăn nhất. Câu trả lời là CÓ, nhưng hiệu quả hạn chế và phụ thuộc vào cấp độ răng nhiễm màu.
Dưới đây là một số trường hợp chỉ định và hạn chế khi tẩy trắng răng nhiễm màu:
- Răng nhiễm ở mức độ nhẹ khi răng chỉ mới ngả vàng hoặc xám nhạt, màu sắc tương đối đều, men răng còn bóng và không có các dải màu, thuốc tẩy trắng răng có thể cắt đứt chuỗi màu giúp răng sáng lên.
- Răng nhiễm ở mức độ từ trung bình đến nặng răng có màu nâu sẫm, tím than, xanh đen hoặc có các sọc ngang loang lổ, khi tẩy sẽ không hiệu quả vì thuốc tẩy trắng răng chỉ hoạt động trên các sắc tố vàng hoặc nâu nhẹ.
- Răng bị nhiễm Tetracycline tuyệt đối không tự tẩy trắng tại nhà vì nồng độ thuốc của các sản phẩm rất thấp không mang lại hiệu quả nên việc lạm dụng miếng dán trắng răng hoặc bột tẩy trắng răng sẽ làm mòn men răng, gây ê buốt dữ dội khiến răng dễ bị nhiễm màu nặng hơn.
Cách chữa răng nhiễm Tetracycline hiệu quả nhất
Tùy vào mức độ nhiễm màu và tình trạng men răng, bác sĩ sẽ tư vấn phương pháp điều trị phù hợp nhất. Hiện nay, có 3 cách khắc phục răng nhiễm Tetracycline phổ biến và mang lại hiệu quả cao:
Tẩy trắng răng chuyên sâu
Đây là phương pháp phù hợp với các trường hợp nhiễm màu nhẹ, răng chỉ hơi ngả vàng hoặc xám nhạt. Bác sĩ sẽ sử dụng thuốc tẩy trắng có nồng độ cao, kết hợp tẩy trắng răng bằng đèn laser hoặc đèn plasma để loại bỏ các sắc tố gây xỉn màu men răng.
Ưu điểm chi phí thấp và thời gian thực hiện nhanh. Tuy nhiên hiệu quả chỉ đạt khoảng 30-40%, màu răng có thể tái nhiễm sau một thời gian và cần duy trì định kỳ.

Dán sứ Veneer
Dán sứ Veneer được xem là giải pháp thẩm mỹ lý tưởng cho người bị nhiễm màu ở mức độ nhẹ đến trung bình, khi men răng vẫn còn chắc khỏe. Bác sĩ sẽ mài rất mỏng lớp men (chỉ khoảng 0.3-0.5 mm) rồi dán lên bề mặt răng một lớp sứ siêu mỏng có màu trắng sáng tự nhiên.
Phương pháp này có tính thẩm mỹ cao, ít xâm lấn và bảo tồn răng thật gần như nguyên vẹn. Veneer còn giúp cải thiện hình dáng răng, mang lại nụ cười tự nhiên và hài hòa hơn. Tuy nhiên, chi phí khá cao và không áp dụng được với răng nhiễm Tetracycline nặng hoặc men răng yếu.

Bọc răng sứ toàn phần
Bọc răng sứ là giải pháp tối ưu nhất cho những trường hợp răng bị nhiễm Tetracycline nặng, đổi màu nâu sẫm hoặc xám đen. Quy trình này gồm việc mài nhẹ lớp men ngoài rồi bọc một mão sứ bên ngoài để che phủ toàn bộ răng thật.
Ưu điểm nổi bật của bọc sứ là che phủ hoàn toàn màu răng cũ, tạo màu trắng sáng tự nhiên và cải thiện cả hình dáng răng (như răng hô, thưa, lệch nhẹ). Ngoài ra, răng sứ có độ bền cao, tuổi thọ trung bình từ 10-20 năm nếu chăm sóc đúng cách. Tuy nhiên chi phí cao và cần can thiệp đến mô răng thật.
Hiện nay, các dòng sứ cao cấp như Zirconia, E.max hoặc Lava Plus (Mỹ) được ưa chuộng nhờ độ trong, bóng tự nhiên và độ an toàn tuyệt đối, giúp khôi phục nụ cười trắng sáng lâu dài.

Phòng tránh răng nhiễm Tetracycline
Răng nhiễm Tetracycline là tình trạng hoàn toàn có thể phòng tránh được nếu sử dụng thuốc đúng cách và chăm sóc sức khỏe răng miệng khoa học giúp bảo vệ men răng tự nhiên và ngăn ngừa răng nhiễm Tetracycline ngay từ sớm. Để ngăn ngừa tình trạng này, bạn cần lưu ý:
- Không tự ý sử dụng kháng sinh, đặc biệt là các loại thuộc nhóm Tetracycline như Doxycycline hoặc Minocycline, khi chưa có chỉ định của bác sĩ.
- Phụ nữ mang thai và trẻ nhỏ dưới 8 tuổi tuyệt đối không dùng nhóm thuốc này để tránh ảnh hưởng đến quá trình hình thành men răng.
- Bổ sung canxi và vitamin D đầy đủ trong giai đoạn mang thai và phát triển răng, giúp men răng chắc khỏe, giảm nguy cơ bị tác động bởi thuốc.
- Duy trì vệ sinh răng miệng sạch sẽ, hạn chế các thực phẩm và đồ uống sậm màu như cà phê, trà, nước ngọt có màu để tránh men răng bị ố vàng hơn.
- Thăm khám nha khoa định kỳ 6 tháng/lần để phát hiện sớm các bất thường về men răng và được tư vấn chăm sóc đúng cách.

Răng nhiễm Tetracycline là tình trạng phức tạp nhưng không phải không thể khắc phục. Với công nghệ nha khoa thẩm mỹ hiện đại như bọc răng sứ hoặc dán sứ Veneer, có thể sở hữu lại hàm răng trắng sáng tự nhiên. Đừng ngần ngại đến Nha khoa Shark để được đội ngũ bác sĩ chuyên nghiệp thăm khám và tư vấn giải pháp phù hợp nhất.






