Sâu răng là một trong những bệnh lý răng miệng phổ biến, có thể gặp ở cả trẻ em và người lớn. Việc nhận biết sớm các dấu hiệu sẽ giúp bạn phòng ngừa và điều trị kịp thời, tránh biến chứng nguy hiểm. Trong bài viết này, Kinh nghiệm trám răng sẽ chia sẻ những hình ảnh con sâu răng thực tế để bạn dễ dàng hình dung mức độ tổn thương của răng, từ đó có biện pháp phòng ngừa, xử lý phù hợp.
Sự thật về con sâu răng
Một hiểu lầm khá phổ biến lưu truyền trong dân gian cho rằng sâu răng là do một loại “con sâu” nhỏ bé sống trong miệng, đục khoét răng và gây đau nhức. Thực chất, sâu răng là kết quả của quá trình vi khuẩn trong miệng chuyển hóa đường và tinh bột thành axit.

Vi khuẩn Streptococcus mutans trong miệng sẽ tiêu thụ đường và tinh bột còn sót lại từ thức ăn. Trong quá trình đó, chúng thải ra axit. Axit này tấn công liên tục vào men răng, làm mất đi các khoáng chất như canxi và photpho, quá trình này gọi là khử khoáng. Theo thời gian, men răng yếu đi và hình thành nên các lỗ sâu li ti, ban đầu có thể chỉ là vệt trắng đục, sau đó mới chuyển sang màu nâu hoặc đen. Cần hiểu đúng bản chất này để phòng ngừa hiệu quả tình trạng sâu răng trẻ em.
Hình ảnh sâu răng theo mức độ
Sâu răng thường có 3 mức độ phổ biến, dưới đây là một vài hình ảnh minh hoạ cho thấy sự tiến triển từ giai đoạn nhẹ dễ xử lý cho đến khi sâu lan rộng, gây hại nghiêm trọng cho răng.
Sâu răng mức độ 1
Giai đoạn chớm sâu răng thường biểu hiện bằng tình trạng răng bị trắng đục hoặc những lỗ nhỏ li ti trên bề mặt răng. Ở thời điểm này, bạn sẽ hầu như chưa cảm nhận được đau nhức, kể cả khi ăn uống đồ nóng hay cay.

Sâu răng mức độ 2
Nếu không được xử lý sớm, sâu răng sẽ tiến triển từ men răng vào lớp ngà, khiến tổn thương lan rộng và lỗ sâu ngày càng lớn. Thức ăn dễ mắc kẹt trong răng, đồng thời bắt đầu xuất hiện cảm giác ê buốt, đau nhức rõ rệt, nhất là khi sử dụng đồ ăn nóng hoặc lạnh.

Sâu răng mức độ 3
Ở giai đoạn này, vi khuẩn đã tấn công đến tủy răng, gây tổn thương nghiêm trọng. Người bị sâu răng ở mức độ này thường phải chịu những cơn đau nhức dữ dội, nhất là về đêm, ảnh hưởng lớn đến sinh hoạt và giấc ngủ.

>>> Xem thêm: Nhét gì vào răng sâu?
Hình ảnh sâu răng theo từng vị trí
Để dễ dàng nhận biết và phân biệt, dưới đây là hình ảnh sâu răng theo từng vị trí trên cung hàm, cho thấy sự khác nhau khi sâu xuất hiện ở mặt nhai, kẽ răng hay chân răng
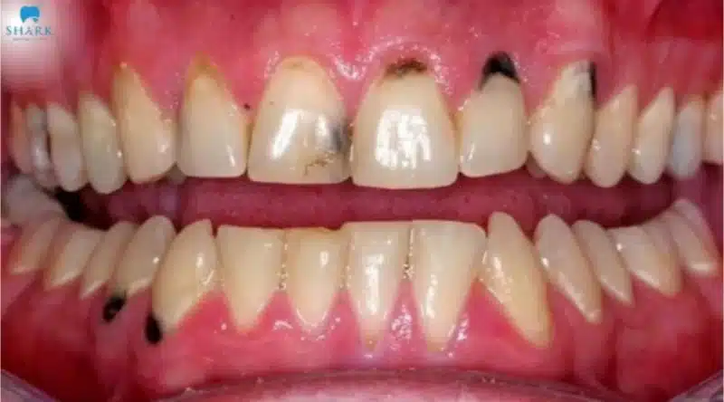
Sâu răng cửa – răng số 1 và 2
Sâu răng cửa – răng số 1 và 2 là tình trạng xảy ra ở nhóm răng phía trước, nằm ở trung tâm hàm. Do có vị trí dễ quan sát nên dấu hiệu sâu răng cửa thường được nhận biết và xử lý sớm. Tuy nhiên, ở răng sữa, nhiều phụ huynh thường chủ quan, dẫn đến tình trạng sâu tiến triển nặng hơn.

Sâu răng nanh – răng số 3
Răng nanh nằm cạnh răng cửa, có đặc điểm thon, nhọn và khá dài. Đây là chiếc răng giữ vai trò quan trọng trong việc cắn, xé thức ăn cũng như hỗ trợ cấu trúc khuôn mặt. Trường hợp không được giữ gìn vệ sinh răng miệng cẩn thận, răng nanh vẫn có nguy cơ bị sâu và tổn thương.

Sâu răng hàm nhỏ – răng số 4 và 5
Răng hàm nhỏ nằm ngay sau răng nanh, có cấu tạo gồm thân, cổ và chân răng. Chúng đảm nhiệm chức năng cắn, xé và nghiền nhỏ thức ăn, hỗ trợ quá trình nhai hiệu quả hơn. Tuy nhiên, do nằm sâu bên trong cung hàm nên khi bị sâu, răng hàm nhỏ thường khó phát hiện kịp thời như răng cửa hay răng nanh.

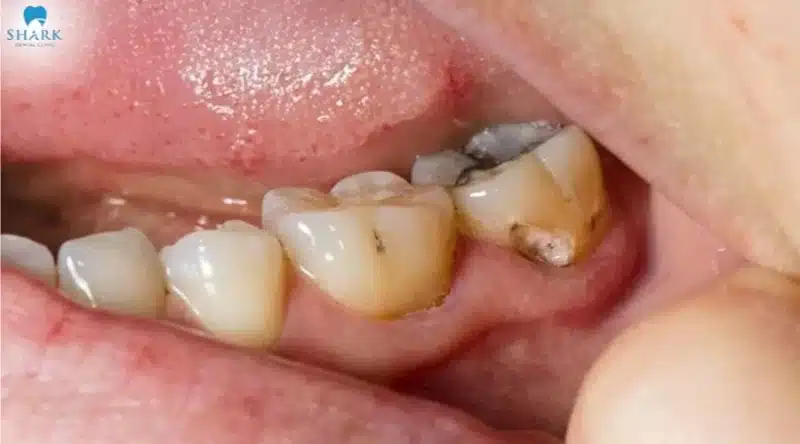
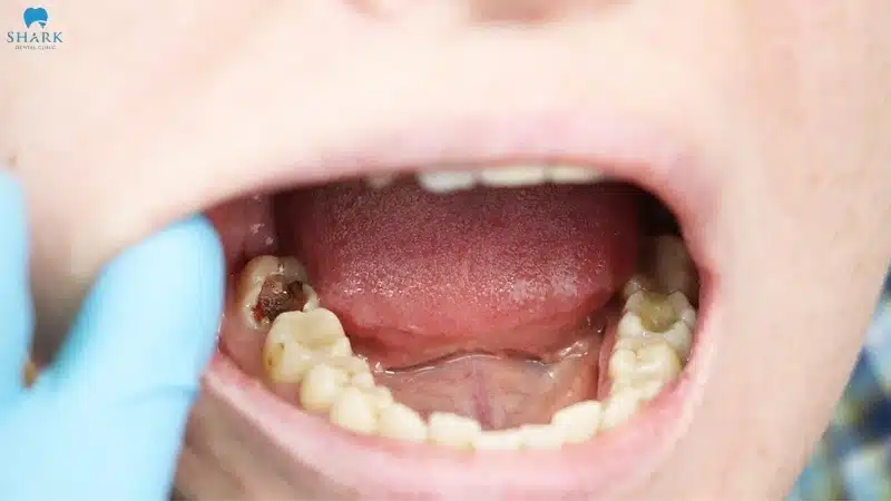
Sâu răng hàm lớn – răng số 6, 7, 8
Răng hàm lớn được đặt sau răng hàm nhỏ và là những chiếc răng có kích thước to nhất trên cung hàm. Với mặt nhai rộng cùng nhiều rãnh và hố răng, nhóm răng này giữ vai trò chủ lực trong việc nhai, nghiền nát và xử lý thức ăn. Khi răng hàm lớn bị sâu, không chỉ làm suy giảm khả năng ăn nhai mà còn dễ kéo theo nhiều vấn đề răng miệng khác nếu không được can thiệp sớm.

>>> Xem thêm: Xiết ăn răng là gì?
Hình ảnh sâu răng theo giai đoạn
Để giúp bạn dễ hình dung mức độ tiến triển của bệnh lý răng miệng này, dưới đây là hình ảnh răng sâu qua từng giai đoạn, từ những tổn thương ban đầu trên men răng cho đến khi sâu lan rộng vào ngà và tủy, gây ra nhiều biến chứng nguy hiểm nếu không được điều trị kịp thời.
Sâu răng bề mặt
Sâu răng bề mặt là một dạng tổn thương răng thường gặp ở cả trẻ em lẫn người lớn. Tình trạng này xuất phát chủ yếu từ việc chăm sóc răng miệng chưa đúng, khiến mảng bám và thức ăn thừa tích tụ lâu ngày. Đây chính là điều kiện thuận lợi cho vi khuẩn sinh sôi, tấn công lớp men răng và gây ra các vết sâu trên bề mặt.

Sâu kẽ răng
Vùng kẽ răng là nơi dễ mắc sâu răng nhất do thức ăn thường mắc lại, khó làm sạch hoàn toàn. Khi vi khuẩn phát triển tại đây, chúng không chỉ gây tổn thương men răng mà còn có thể lan sang cả hai răng ở vị trí tiếp giáp, làm tăng mức độ nghiêm trọng của sâu răng.

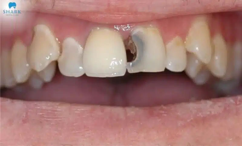
Sâu răng bán phần
Sâu răng bán phần là tình trạng răng bị vi khuẩn phá hủy, mất đi một phần mô răng khiến răng không còn nguyên vẹn. Lúc này, người có răng sâu thường phải chịu những cơn đau nhức dai dẳng, gây khó khăn trong việc ăn nhai và làm giảm chất lượng sinh hoạt hằng ngày.

Sâu răng toàn phần
Răng sâu toàn phần là giai đoạn nặng nhất của sâu răng, khi vi khuẩn đã phá hủy toàn bộ thân răng, khiến răng vỡ vụn, chỉ còn sót lại phần chân. Ở mức độ này, răng không thể phục hồi bằng các phương pháp bảo tồn mà cần phải nhổ bỏ và thay thế bằng răng giả để khôi phục chức năng ăn nhai.

>>> Xem thêm: Tại sao sâu răng lại đau về đêm nhiều hơn?
Hình ảnh sâu răng theo đối tượng
Sâu răng là bệnh lý răng miệng có thể xảy ra ở bất kỳ độ tuổi nào, kể cả trẻ em và người lớn. Cụ thể:
Ở trẻ em
Trẻ nhỏ thường là đối tượng dễ mắc sâu răng nhất bởi cấu trúc răng sữa vốn yếu và nhạy cảm. Khác với răng vĩnh viễn, răng sữa có lớp men mỏng nên khả năng chống lại vi khuẩn gây sâu răng kém hơn. Thêm vào đó, sở thích ăn nhiều đồ ngọt, bánh kẹo, nước ngọt có gas cùng thói quen vệ sinh răng miệng chưa đều đặn hoặc chưa đúng cách càng làm tăng nguy cơ sâu răng.
Một khi sâu răng xuất hiện, tình trạng ở trẻ thường tiến triển rất nhanh, có thể bắt đầu ngay khi chiếc răng sữa đầu tiên mọc lên. Điều này không chỉ gây đau nhức, ảnh hưởng đến sinh hoạt hằng ngày mà còn có thể để lại hệ quả cho sự phát triển răng vĩnh viễn sau này.

Ở người trưởng thành
Ở người lớn, nguy cơ sâu răng thường thấp hơn so với trẻ em, nhưng thực tế vẫn có rất nhiều trường hợp gặp phải tình trạng sâu răng từ mức độ nhẹ đến nặng. Nguyên nhân chủ yếu xuất phát từ thói quen ăn uống thiếu lành mạnh như tiêu thụ nhiều đồ ngọt, đồ ăn vặt, thức ăn khuya, nước ngọt có gas hoặc rượu bia.
Bên cạnh đó, việc vệ sinh răng miệng chưa đúng cách, không duy trì thói quen thăm khám nha khoa và lấy cao răng định kỳ cũng tạo điều kiện cho vi khuẩn phát triển, gây sâu răng. Khi sâu răng ở người lớn tiến triển nặng, chúng có thể kéo theo nhiều biến chứng nguy hiểm như viêm tủy, áp xe, sưng nướu, hôi miệng, thậm chí ảnh hưởng đến sức khỏe toàn thân.

Hình ảnh sâu răng theo bộ răng
Sâu răng có thể xảy ra ở cả răng sữa và răng vĩnh viễn. Hai loại răng này có cấu trúc và độ bền khác nhau, từ đó hình ảnh răng sâu cũng có những đặc điểm riêng, cụ thể như sau:
Sâu răng sữa
Sâu răng sữa là tình trạng thường gặp ở trẻ em dưới 13 tuổi, khi các răng sữa bị vi khuẩn tấn công, làm mòn men răng và tạo lỗ sâu. Điều này không chỉ gây đau nhức, ảnh hưởng đến ăn uống và thẩm mỹ mà còn khiến nhiều phụ huynh lo lắng.
Dù răng sữa sẽ được thay bằng răng vĩnh viễn, nhưng nếu không điều trị kịp thời, sâu răng sữa vẫn có thể để lại hậu quả nghiêm trọng, ảnh hưởng đến sức khỏe răng miệng, cơ thể và cả quá trình mọc răng sau này.

Sâu răng vĩnh viễn
Răng vĩnh viễn bị sâu là tình trạng xảy ra ở cả trẻ em và người lớn, sau khi răng sữa được thay thế. Khác với răng sữa, răng vĩnh viễn không thể mọc lại khi mất đi, vì vậy khi bị sâu sẽ để lại nhiều hậu quả lâu dài. Vi khuẩn gây sâu răng sẽ tấn công men răng, ăn mòn thân răng và có thể lan vào tủy, gây đau nhức, ê buốt dữ dội. Những cơn đau này nếu kéo dài không chỉ ảnh hưởng đến việc ăn uống, sinh hoạt hàng ngày mà còn làm suy giảm chất lượng cuộc sống.

Điều trị sâu răng ở đâu uy tín?
Qua nhiều hình ảnh con sâu răng cho thấy bệnh lý răng miệng này nếu không được điều trị kịp thời có thể gây đau nhức kéo dài, viêm tủy, thậm chí mất răng vĩnh viễn. Nếu bạn đang tìm kiếm một địa chỉ nha khoa an toàn và đáng tin cậy, Nha Khoa Shark chính là lựa chọn phù hợp.
Lựa chọn Nha Khoa Shark là địa chỉ điều trị sâu răng, bạn sẽ hoàn toàn an tâm bởi:
- Đội ngũ bác sĩ giỏi: Quá trình điều trị đều được thực hiện bởi bác sĩ có tay nghề cao, kinh nghiệm lâu năm, thực hiện chính xác những kỹ thuật từ cơ bản đến phức tạp, giúp quá trình diễn ra nhẹ nhàng, ít đau đớn.
- Thiết bị, công nghệ tiên tiến: Nha Khoa Shark không ngừng nỗ lực nâng cấp các máy móc, công nghệ hiện đại nhất nhằm giúp cho việc chẩn đoán và điều trị không xảy ra sai sót, đem lại kết quả tối ưu.
- Quy trình chuẩn y khoa: Toàn bộ các khâu xử lý sâu răng tại phòng khám đều được thực hiện vô trùng khép kín, tránh việc lây nhiễm chéo, tuân thủ nghiêm ngặt theo các quy định của Bộ Y Tế.
- Phòng khám khang trang, sạch sẽ: Đến với Nha Khoa Shark, bạn sẽ trải nghiệm một dịch vụ nha khoa cao cấp với không gian sạch sẽ, rộng rãi, cùng hệ thống ghế Kavo Premium giúp nâng cao sự thoải mái, thư giãn cho khách hàng trong suốt quá trình điều trị.
- Chi phí hợp lý: Mọi chi phí điều trị tại đơn vị này đều được công khai, minh bạch, cam kết không phát sinh trong suốt quá trình. Đặc biệt, Shark Dental Clinic còn cung cấp một số chính sách ưu đãi, giúp khách hàng không phải lo lắng quá nhiều về chi phí khi chăm sóc răng miệng.

Hi vọng qua những hình ảnh con sâu răng mà Kinh nghiệm trám răng vừa chia sẻ đã phần nào giúp bạn nhận diện rõ mức độ nguy hiểm, cũng như sự tiến triển của bệnh lý này. Đừng để sâu răng kéo dài gây ảnh hưởng đến sức khỏe và thẩm mỹ nụ cười, việc thăm khám và điều trị sớm tại nha khoa uy tín, sẽ giúp bạn bảo tồn răng thật và ngăn ngừa biến chứng.






