Trám răng là phương pháp hiệu quả để khắc phục những răng bị sâu hoặc sứt mẻ. Tuy nhiên, sau một thời gian trám răng, không ít người phát hiện vết trám răng bị đen. Vậy miếng trám răng bị đen có sao không? Làm cách nào để khắc phục? Kinh nghiệm trám răng sẽ giải đáp những thắc mắc của bạn qua bài viết dưới đây!
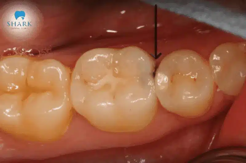
Miếng trám răng bị đen có sao không?
Miếng trám răng bị đen sẽ không sao nếu đây là do vấn đề về mặt thẩm mỹ và không ảnh hưởng đến cấu trúc răng. Nhưng khi nhận thấy các miếng trám răng chuyển sang đen và lan rộng ra ngoài vết trám, điều này có thể là dấu hiệu cảnh báo tình trạng sâu răng, viêm nhiễm, ảnh hưởng đến răng và tuỷ. Lúc này cần nhanh chóng đến nha khoa để được bác sĩ thăm khám, đánh giá tình trạng cũng như đưa ra giải pháp phù hợp.

Nguyên nhân miếng trám răng bị đen
Có nhiều nguyên nhân khiến miếng trám răng bị đen và ảnh hưởng, cụ thể như:
Kỹ thuật trám răng
Kỹ thuật trám răng giữ vai trò quan trọng trong độ bền và tính thẩm mỹ của miếng trám. Nếu bác sĩ thực hiện trám răng không đúng kỹ thuật, thiếu an toàn, sẽ có những kẽ hở sẽ làm cho vết trám dính thức ăn, viêm nhiễm, đổi màu sắc.

Vật liệu trám răng kém chất lượng
Nếu sử dụng vật liệu trám răng kém chất lượng sẽ dẫn đến độ bền thấp, dễ đổi màu, khiến miếng trám răng bị đen. Từ đó gây nên những tác động không tốt cho khoang miệng.
Sâu răng tái phát
Sâu răng là một trong những nguyên nhân khiến miếng trám bị đen và ảnh hưởng. Nếu như trước khi trám răng chưa điều trị dứt điểm tình trạng sâu răng. Hoặc sau khi trám không vệ sinh răng miệng kỹ dẫn đến vi khuẩn tích tụ, làm len lỏi vào chân răng, gây nên tình trạng miếng trám bị sâu, đau nhức, khó chịu.

>>> Xem thêm: Trám răng rồi có bị sâu lại không?
Chăm sóc răng miệng không đúng cách
Vệ sinh răng miệng không đúng cách là nguyên nhân phổ biến nhất khiến miếng trám răng bị đen. Khi vệ sinh răng miệng không kỹ, không lấy cao răng định kỳ, thức ăn thừa và các mảng bám sẽ tích tụ xung quay miếng trám. Từ đó tạo điều kiện cho vi khuẩn phát triển, làm các miếng trám bị đổi màu.
Thói quen sinh hoạt, ăn uống
Ăn uống nhiều đồ ngọt, không vệ sinh răng miệng kỹ, dùng các thực phẩm sẫm màu sẽ làm cho miếng trám răng bị đen và có nhiều ảnh hưởng. Tham khảo ngay bài viết trám răng có kiêng ăn gì không để hiểu rõ hơn về các loại thực phẩm cần tránh.
Có thể thấy, rất nhiều nguyên nhân khiến cho miếng trám răng bị đen. Dù là nguyên nhân nào thì tình trạng này cũng ảnh hưởng đến thẩm mỹ và tiềm ẩn nhiều bệnh lý nguy hiểm liên quan đến răng miệng. Do đó, cần tìm đến những địa chỉ trám răng uy tín để xem xét nguyên nhân và có phương pháp cải thiện vết trám răng bị đen nhanh nhất.

Cách khắc phục tình trạng miếng trám răng bị đen
Để nhanh chóng khắc phục tình trạng miếng trám răng bị đen, bạn có thể tìm đến nha khoa uy tín và áp dụng một số giải pháp an toàn:
Đánh bóng răng
Phương pháp đánh bóng răng thường áp dụng cho những trường hợp miếng trám bị sẫm màu nhẹ. Phương pháp này sẽ mài nhẹ bề mặt miếng trám, giúp loại bỏ lớp trám bị đổi màu và đánh bóng trở lại. Ưu điểm của đánh bóng răng nhanh chóng, tiết kiệm thời gian. Tuy nhiên vẫn còn hạn chế là chỉ áp dụng cho những miếng trám chưa bị hở và chưa có dấu hiệu sâu răng tái phát.

Thay miếng trám
Với những miếng trám bị đen quá nặng, vết đen bám chắc chắn hoặc sâu răng tái phát thì phải thay bằng miếng trám mới. Bác sĩ sẽ loại bỏ hoàn toàn những miếng trám cũ, thay thế bằng những miếng trám mới bằng vật liệu phù hợp. Phương pháp này có độ bền và tính thẩm mỹ cao hơn so với phương pháp đánh bóng.

Bọc răng sứ thẩm mỹ
Nếu miếng trám răng bị đen nặng, không thể áp dụng các phương pháp thông thường, bác sĩ sẽ chỉ định bọc răng sứ. Phương pháp này được thực hiện an toàn bằng cách mài một phần răng, sau đó gắn mão sứ lên trên, giúp cấu trúc răng cân đối, sáng đẹp. Tuy nhiên, bọc răng sứ có mức chi phí tương đối cao, không phù hợp với nhiều người.

Cách chăm sóc răng miệng sau khi trám răng
Để ngăn ngừa miếng trám răng bị đen và ảnh hưởng, cần chú ý chăm sóc, vệ sinh răng miệng đúng cách:
Đánh răng đều đặn
Đánh răng đều đặn khoảng 2-3 lần/ngày. Sử dụng bàn chải lông mềm và kem đánh răng có chứa fluoride để làm sạch răng miệng hiệu quả. Nên chải răng theo chiều dọc tròn và không chải quá mạnh tránh làm mòn và ảnh hưởng đến độ bền của miếng trám.

Dùng chỉ nha khoa
Sử dụng chỉ nha khoa hằng ngày, ít nhất 1 lần/ngày. Việc sử dụng chỉ nha khoa giúp loại bỏ các vết bám thức ăn ở các kẽ răng, những nơi mà bàn chải đánh răng không thể len lỏi vào được. Điều này giúp duy trì tính thẩm mỹ của miếng trám cũng như bảo vệ răng miệng.

Thay đổi chế độ ăn
Không ăn những thực phẩm quá dai, cứng trong những ngày đầu sau khi trám, tránh cắn trực tiếp vào vị vừa mới mới để hạn chế bong tróc. Không nên sử dụng đồ ăn, đồ uống quá nóng hay quá lạnh. Đặc biệt, không sử những thực phẩm có màu sẫm dễ làm cho miếng trám răng bị đen. Những thực phẩm cần hạn chế sau khi mới trám răng như: cà phê, nước ngọt có gas, socola,…
Khám răng định kỳ
Nên đi nha khoa khám răng định kỳ 6 tháng/lần để kiểm tra tình trạng răng miệng và miếng trám răng. Việc phát hiện kịp thời các vấn đề răng miệng có thể điều trị sớm và hạn chế các biến chứng nguy hiểm khác.

Miếng trám răng bị đen không chỉ ảnh hưởng đến thẩm mỹ mà còn tiềm ẩn nhiều bệnh lý răng miệng nguy hiểm khác. Việc hiểu rõ được nguyên nhân khiến miếng trám bị đổi màu sẽ giúp lựa chọn được những cách khắc phục phù hợp và hiệu quả. Nếu bạn đang gặp tình trạng vết trám răng bị đen hay những vấn đề liên quan đến răng miệng khác, hãy đến ngay Nha Khoa Shark để được đội ngũ bác sĩ giàu kinh nghiệm tư vấn và điều trị kịp thời, an toàn và đạt hiệu quả cao.





![[Góc giải đáp] Trám răng bao lâu thì trám lại? 25 Trám răng bao lâu thì trám lại?](https://cdn.diemnhangroup.com/nhakhoashark.vn/2025/08/tram-rang-bao-lau-thi-tram-lai_1_11zon.webp)
