Răng sữa đóng vai trò định hướng quan trọng đối với sự phát triển của răng vĩnh viễn. Khi trẻ không may bị chấn thương hoặc mắc các bệnh lý nha khoa dẫn đến việc mất răng sữa quá sớm, các răng kế cận sẽ có xu hướng đổ nghiêng vào khoảng trống này. Điều này dẫn đến tình trạng răng vĩnh viễn mọc sai lệch, chen chúc hoặc sai khớp cắn. Để khắc phục triệt để vấn đề này, các bác sĩ nha khoa sẽ chỉ định sử dụng hàm giữ khoảng nhằm duy trì không gian trên cung hàm. Dưới đây là thông tin chi tiết về thiết bị này nhằm giúp các bậc phụ huynh dễ dàng nắm bắt và đưa ra quyết định chăm sóc răng miệng tốt nhất cho trẻ.
Hàm giữ khoảng là gì?
Nhiệm vụ chính của hàm giữ khoảng răng sữa là duy trì khoảng trống tại vị trí răng bị mất, ngăn chặn các răng lân cận xô lệch hoặc nghiêng vào khoảng trống đó. Nhờ vậy, răng vĩnh viễn nằm bên dưới xương hàm sẽ có đủ không gian cần thiết để mọc lên đúng vị trí, đúng hướng, giúp trẻ phát triển khớp cắn chuẩn và hạn chế tối đa nguy cơ phải can thiệp chỉnh nha phức tạp trong tương lai.

Các loại hàm giữ khoảng hiện nay
Dựa trên cấu tạo và phương thức hoạt động, các loại hàm hiện nay được chia thành hai nhóm chính để phù hợp với từng tình trạng răng miệng cụ thể của trẻ.
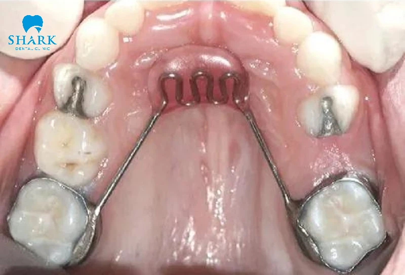
Hàm giữ khoảng cố định
Hàm giữ khoảng cố định là loại khí cụ niềng răng được bác sĩ gắn chặt vào các răng kế cận vị trí mất răng bằng xi măng nha khoa chuyên dụng vì thế trẻ không thể tự tháo lắp khí cụ này tại nhà. Loại hàm này đặc biệt phù hợp với trẻ nhỏ vì tính ổn định cao, không lo bị rơi rớt hay thất lạc trong quá trình sinh hoạt.
Hàm cố định được chia thành các phân loại nhỏ sau:
Hàm 1 bên: Có thiết kế gồm một vòng nhẫn kim loại bao quanh chiếc răng kế cận và một vòng dây thép vươn ra để giữ khoảng trống. Loại này được chỉ định khi trẻ mất một chiếc răng hàm sữa ở một bên cung hàm.

Hàm 2 bên: Thiết kế bao gồm hai vòng nhẫn gắn vào hai răng trụ và được nối với nhau bằng một dây cung kim loại. Khí cụ này được sử dụng khi trẻ mất răng ở cả hai bên cung hàm hoặc mất nhiều răng cùng lúc.

Hàm neo chặn phía xa: Cấu tạo tương tự hàm 1 bên nhưng phần dây thép vươn ra được gắn thêm một miếng thép nhỏ để tì vào nướu. Hàm này được sử dụng chuyên biệt cho trường hợp trẻ mất răng hàm sữa thứ hai trước khi răng hàm vĩnh viễn thứ nhất (răng số 6) mọc lên, nhằm ngăn răng số 6 mọc trôi về phía trước.

Hàm giữ khoảng tháo lắp
Hàm giữ khoảng tháo lắp có thiết kế gần giống với hàm duy trì sau niềng răng hoặc hàm giả tháo lắp. Khí cụ này bao gồm một nền nhựa áp sát vào vòm miệng hoặc sống hàm, kết hợp với các móc kim loại ôm vào răng thật để giữ sự ổn định. Trong những trường hợp cần thiết, hàm tháo lắp có thể được gắn thêm răng giả để đảm bảo chức năng ăn nhai và tính thẩm mỹ cho trẻ.

Bác sĩ thường chỉ định hàm giữ khoảng tháo lắp trong các trường hợp sau:
- Trẻ bị mất nhiều răng trên cùng một cung hàm.
- Mất răng hàm sữa ở cả hai bên.
- Không có đủ răng thật chắc khỏe để làm trụ cho hàm cố định.
Lưu ý: Hàm tháo lắp đòi hỏi sự tự giác cao. Do đó, khí cụ này thường chỉ mang lại hiệu quả tốt nhất đối với những trẻ lớn, đã có ý thức tự đeo hàm và tuân thủ đúng hướng dẫn của bác sĩ nha khoa.
Hàm giữ khoảng có công dụng gì?
Việc sử dụng khí cụ giữ khoảng không chỉ là giải pháp tạm thời mà còn mang lại những lợi ích thiết thực và lâu dài cho sức khỏe răng miệng của trẻ, bao gồm:
- Đảm bảo không gian cho răng vĩnh viễn: Khí cụ giúp duy trì kích thước dọc và ngang của cung hàm tại vị trí mất răng, tạo điều kiện thuận lợi cho răng trưởng thành mọc lên chuẩn xác.
- Ngăn chặn sự xô lệch của các răng kế cận: Tránh tình trạng các răng bên cạnh nghiêng đổ vào khoảng trống, gây mất cân đối cung hàm và dẫn đến sai lệch khớp cắn.
- Giảm thiểu nguy cơ tiêu xương hàm: Việc duy trì khoảng trống và phục hồi chức năng nhai thông qua răng giả tạm thời sẽ giúp kích thích xương hàm, hạn chế hiện tượng tiêu xương do mất răng.
- Bảo vệ chức năng ăn nhai và phát âm: Giúp trẻ ăn uống dễ dàng hơn, đảm bảo dinh dưỡng và không bị cản trở hay ngọng khi phát âm trong giai đoạn phát triển ngôn ngữ quan trọng.
- Tiết kiệm thời gian và chi phí chỉnh nha tương lai: Bằng việc kiểm soát quá trình mọc răng ngay từ đầu, thiết bị này giúp giảm thiểu nguy cơ trẻ phải can thiệp niềng răng tốn kém và mất thời gian sau này.

Hàm giữ khoảng bao nhiêu tiền?
Chi phí thực hiện phương pháp này phụ thuộc vào nhiều yếu tố, dẫn đến sự chênh lệch tại các cơ sở nha khoa. Dưới đây là bảng giá tham khảo trên thị trường hiện nay:
| Loại khí cụ | Mức giá tham khảo (VNĐ/hàm) |
| Hàm tháo lắp nhựa y tế | 500.000 – 1.500.000 |
| Hàm tháo lắp kim loại hoặc loại có răng giả | 1.000.000 – 2.500.000 |
| Hàm cố định bằng thép không gỉ | 1.500.000 – 3.000.000 |
Để trả lời chính xác hàm giữ khoảng bao nhiêu tiền cho từng trường hợp cụ thể, bạn cần dựa vào các yếu tố quyết định sau:
- Tình trạng mất răng: Số lượng răng mất và vị trí khoảng trống sẽ quyết định thiết kế hàm đơn giản hay phức tạp.
- Loại khí cụ và vật liệu: Hàm cố định thường có mức giá khác biệt so với hàm tháo lắp là vì chất liệu nhựa y tế tiêu chuẩn, thép không gỉ nguyên chất hoặc việc tích hợp thêm răng giả thẩm mỹ sẽ làm thay đổi chi phí.
- Chất lượng cơ sở nha khoa: Tay nghề của bác sĩ chuyên khoa răng hàm mặt trẻ em, hệ thống vô trùng và chế độ bảo hành tại phòng khám cũng là những yếu tố cấu thành nên chi phí điều trị.

Hướng dẫn chăm sóc răng miệng khi đeo hàm giữ khoảng
Để đảm bảo kết quả tốt nhất và ngăn ngừa các bệnh lý răng miệng phát sinh trong thời gian mang hàm, phụ huynh cần nhắc nhở trẻ tuân thủ chế độ chăm sóc khoa học dưới đây:
Vệ sinh kỹ lưỡng:
- Đối với hàm cố định: Đánh răng ít nhất 2 lần/ngày bằng bàn chải lông mềm, đồng thời làm sạch kỹ vị trí tiếp nối giữa nhẫn kim loại và bề mặt răng thật. Nên kết hợp sử dụng chỉ nha khoa và máy tăm nước.
- Đối với hàm tháo lắp: Tháo hàm ra và vệ sinh sạch sẽ bằng bàn chải chuyên dụng sau mỗi bữa ăn. Tuyệt đối không ngâm hàm trong nước nóng để tránh làm biến dạng nền nhựa.

Chế độ ăn uống: Tránh xa các loại thức ăn quá cứng, thức ăn quá dai hoặc dẻo dính vì chúng có thể làm tuột, gãy hoặc biến dạng khí cụ.
Thăm khám định kỳ: Cần đưa trẻ đến nha khoa định kỳ mỗi 3 đến 6 tháng. Bác sĩ sẽ kiểm tra mức độ ổn định của hàm, vệ sinh chuyên sâu và theo dõi tiến trình mọc lên của mầm răng vĩnh viễn bên dưới xương hàm.
Trong trường hợp trẻ bị mất răng sữa sớm, việc chủ động can thiệp bằng các biện pháp nha khoa là vô cùng cần thiết. Lựa chọn sử dụng hàm giữ khoảng đúng thời điểm và tại các cơ sở nha khoa niềng răng uy tín chính là phương án tối ưu nhất để bảo vệ nụ cười khỏe mạnh, đều đẹp và cấu trúc khớp cắn hoàn hảo cho trẻ trong tương lai.






