Răng mọc ngược là một trong những tình huống gây khó chịu và khiến gương mặt trở nên mất cân đối. Nếu không giải quyết kịp thời, nó có thể gây ảnh hưởng đến chức năng ăn nhai và sức khỏe của răng miệng. Hãy cùng Góc kiến thức nha khoa tìm hiểu về tình trạng răng này để có những phương pháp điều trị kịp thời và hiệu quả.
Răng mọc ngược là gì?
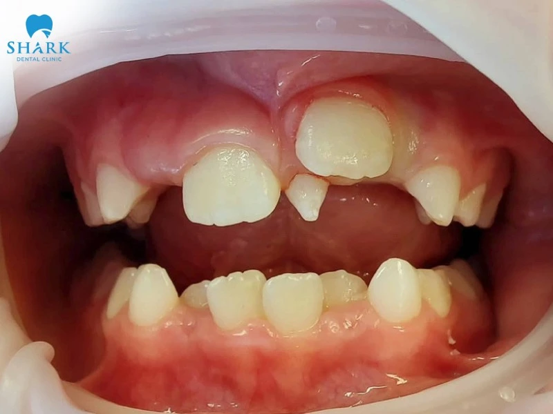
Răng mọc ngược là tình trạng răng vĩnh viễn không thể trồi lên đúng vị trí trên cung hàm, mà bị kẹt lại hoặc mọc xoay hướng vào nướu, xương hàm, thậm chí là các vị trí bất thường khác như xoang mũi. Đây là vấn đề phổ biến, xảy ra ở mọi lứa tuổi, song thường gặp nhất ở trẻ em giai đoạn thay răng.
Nguyên nhân cốt lõi là sự mất cân bằng giữa không gian mọc răng và kích thước răng, cùng các yếu tố như di truyền, hoặc sự cản trở từ răng sữa còn sót lại. Việc chẩn đoán và điều trị sớm là cực kỳ quan trọng để ngăn ngừa các biến chứng nghiêm trọng như nhiễm trùng, u nang, tiêu xương, hay ảnh hưởng chức năng ăn nhai và thẩm mỹ.

Các dạng răng mọc ngược hiện nay
Răng mọc ngược có nhiều dạng khác nhau tùy thuộc vào vị trí và hướng mọc lệch của răng. Một số dạng mọc răng phổ biến thường gặp:
Răng mọc ngược vào trong
Đây là dạng thường gặp nhất, thường xảy ra với các tình trạng khi răng bị hô, móm hoặc hai hàm răng không cân đối, đặc biệt là ở các răng cửa hàm dưới hoặc răng bị chen chúc. Nguyên nhân do sai lệch khớp cắn hoặc bất thường trong phát triển xương hàm có thể ảnh hưởng đến chức năng nhai, phát âm và gây ra các bệnh lý về răng miệng.

Răng mọc ngược trên nướu
Trường hợp này thường gặp nhất ở răng nanh hoặc răng cửa nhưng chủ yếu xảy ra ở răng nanh trên. Khi cung hàm không đủ khoảng trống, răng nanh có thể mọc lên trên nướu hoặc chếch lên cao hơn các răng khác gây mất thẩm mỹ, ảnh hưởng lớn đến sự cân đối cung hàm và khớp cắn.
Chân răng mọc ngược
Dạng răng mọc ngược này khá hiếm gặp, nhưng nguy hiểm vì chân răng chìa ra ngoài, còn thân răng nằm ngang hoặc xoay lệch trong xương hàm. Trường hợp này khó phát hiện bằng mắt thường mà cần chụp X- quang và có thể can thiệp phẫu thuật để xử lý.
Răng mọc ngược lên mũi
Đây là dạng cực kỳ hiếm gặp, chỉ xảy ra với số lượng đếm trên đầu ngón tay. Tình trạng này xảy ra khi mầm răng di chuyển quá mức, xuyên lên nền xoang mũi và nếu không xử lý kịp thời có thể gây đau nhức, viêm xoang và nghẹt mũi.
Tác hại khi có răng mọc ngược
Răng mọc ngược không chỉ ảnh hưởng đến thẩm mỹ mà còn gây ra nhiều vấn đề về sức khỏe răng miệng:
- Gây mất thẩm mỹ cho gương mặt: Tình trạng mọc răng ngược, sai vị trí khiến gương mặt trở nên lệch lạc, mất cân đối ảnh hưởng đến tự tin và giao tiếp. Ngoài ra, một số người tự ti về hàm răng khấp khểnh đến mức ngừng cười trước mặc người khác.
- Suy giảm chức năng ăn nhai: Khi răng không mọc đúng vị trí dẫn đến hàm trên và hàm dưới không khít với nhau nên việc nhai thức ăn trở nên khó khăn. Khi thức ăn không được cắn, xé nhỏ đúng cách có thể gây ảnh hướng đến tiêu hóa.
- Tăng nguy cơ bệnh lý răng miệng: Răng mọc ngược là nguyên nhân dẫn đến các bệnh về răng miệng. Răng mọc lệch lạc tạo ra các khe hở khiến vệ sinh răng khó khăn hơn nên dễ tích tụ mảng bám gây sâu răng, lợi bị tách khỏi răng và hôi miệng.
- Đau nhức và sưng tấy: Đặc biệt là răng khôn mọc ngược, tình trạng này thường gây đau nhức kéo dài, dễ gây viêm nhiễm và sưng nướu.
- Phát âm sai: Ảnh hưởng đến khả năng phát âm, đặc biệt là trẻ nhỏ.
Phương pháp điều trị răng mọc ngược
Việc điều trị răng mọc ngược phụ thuộc vào loại răng và trị trí mọc ngược và mức độ ảnh hưởng của nó. Cần thăm khám và chụp X-quang để nha sĩ đưa ra phác đồ điều trị phù hợp nhất
Nhổ răng
Đây là phương pháp được sử dụng khi răng mọc ngược ảnh hưởng đến việc ăn nhai hoặc gây sâu răng nặng, viêm tủy, bác sĩ sẽ chỉ định nhổ bỏ. Sau khi nhổ bỏ răng mọc ngược thường để hỗ trợ cho mục đích trồng răng Implant hoặc niềng răng. Tuy nhiên, chỉ áp dụng trong trường hợp răng mọc lệch đơn lẻ (1-2 răng), không áp dụng trường hợp răng lệch lạc toàn hàm.

Niềng răng
Niềng răng là phương pháp phổ biến giúp khắc phục tình trạng răng lệch lạc, bao gồm kể cả răng mọc ngược. Phương pháp này sử dụng hệ thống mắc cài và dây cung hoặc khay trong suốt để tạo lực siết từ từ lên răng giúp dịch chuyển răng đúng vị trí.
Ưu điểm lớn nhất của phương pháp này là giúp răng đều, chắc thiện và bảo vệ được răng thật.
Nhược điểm là thời gian điều trị dài từ 12-24 tháng phụ thuộc vào tình trạng răng của mỗi người.

Phẫu thuật chỉnh hàm
Phương pháp này thường áp dụng khi răng mọc ngược do bất thường ở xương hàm, trường hợp này bác sĩ có thể chỉ định phẫu thuật chỉnh hàm. Phương pháp này sẽ tiến hành cắt rời một đoạn phần xương kèm theo răng sai lệch, rồi đưa về vị trí giải phẫu và cố định bằng nẹp chuyên dụng.
Thông thường, phẫu thuật chỉnh hàm sẽ được kết hợp với niềng răng để đạt kết quả tốt nhất.
Răng mọc ngược là tình trạng không nên chủ quan vì có thể gây ra nhiều vấn đề thẩm mỹ và sức khỏe răng miệng. Nếu bạn hoặc người thân đang gặp tình trạng này, hãy đến nha khoa uy tín để được thăm khám và điều trị sớm. Để được tư vấn chi tiết và lựa chọn phương pháp điều trị phù hợp, bạn có thể liên hệ Nha Khoa Shark ngay hôm nay. Đội ngũ bác sĩ chuyên môn cao sẽ giúp bạn lấy lại hàm răng đều đẹp và nụ cười tự tin






