Răng lung lay là một trong những lo lắng, ám ảnh của người trưởng thành vì có thể gây mất răng, ảnh hưởng đến quá trình ăn nhai và sinh hoạt. Vậy răng lung lay làm sao để chắc lại? Cách nào để cải thiện những dấu hiệu răng lung lay? Lắng nghe những chia sẻ của Góc kiến thức nha khoa dưới bài viết sau nhé.
Răng bị lung lay có chắc lại được không?
Răng lung lay có thể chắc lại được, nhưng không phải trong mọi trường hợp. Khả năng phục hồi phụ thuộc hoàn toàn vào nguyên nhân gây lung lay và mức độ nghiêm trọng của tình trạng. Nếu nguyên nhân là do viêm nướu ở giai đoạn đầu, chỉ cần điều trị nha chu kịp thời, răng có thể ổn định trở lại. Ngược lại, nếu xương ổ răng đã bị tiêu hủy nặng hoặc răng bị chấn thương nghiêm trọng, khả năng giữ lại răng là rất thấp. Vì thế, bạn cần thăm khám sớm bởi bác sĩ để xác định chính xác vấn đề và có hướng điều trị phù hợp.

Nguyên nhân răng bị lung lay
Có nhiều nguyên nhân khác nhau khiến cấu trúc răng tác động, xuất hiện các dấu hiệu lung lay. Nếu răng lung lay ở trẻ em là tình trạng bình thường, trẻ đến giai đoạn thay răng sẽ tự động lung lay để nhường chỗ cho các răng vĩnh viễn. Trường hợp răng lung lay ở người trưởng thành sẽ có nhiều yếu tố như.
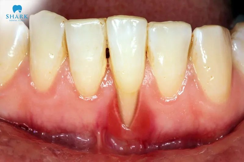
Bệnh răng miệng
Đây là nguyên nhân phổ biến khiến cho răng lung lay, có dấu hiệu gãy vỡ. Thường bước qua tuổi 30, răng có dấu hiệu suy yếu, các bệnh lý về viêm nha chu, viêm nướu dẫn đến răng lung lay ảnh hưởng.
Việc vệ sinh răng miệng không kỹ, các mảng bám và vi khuẩn có cơ hội tích tụ vào sâu trong chân răng. Những lúc này mô nướu sẽ tổn thương, ảnh hưởng đến chân răng, dần dần phá hủy cấu trúc làm lung lay.

Do tuổi tác
Khi tuổi càng cao, cac cơ quan trong cơ thể xuất hiện những lão hóa, xương ổn răng cũng dần suy yếu. Lúc này các tổ chức quanh xương, dây chằng sẽ lỏng lỏng, hoạt động yếu hơn, không còn cứng chắc. Lão hóa sẽ khiến cho răng lung lay và dần suy yếu, không còn vững chắc như bình thường.
Do mang thai
Trong giai đoạn mang thai, nhiều chị em có dấu hiệu răng bị lung lay do thay đổi về hormone estrogen và progesterone tăng lên vượt mức. Lúc này xương và răng sẽ bị ảnh hưởng, hệ thống dây chằng xung quanh răng yếu đi, xuất hiện tình trạng răng lung lay.
Tác nhân bên ngoài
Răng lung lay có thể do những ảnh hưởng và tác động bên ngoài như tai nạn, va đập, vấp ngã… Đây là những nguyên nhân khiến xương, dây chằng xung quanh răng bị tổn thương, dẫn đến các dấu hiệu răng lung lay, có nguy cơ gãy răng.
Viêm nha chu
Thói quen chăm sóc răng miệng không đúng cách dẫn đến vi khuẩn và các mảng bám tích tụ nhiều dưới chân răng. Khi cao răng càng nhiều, chân răng cứng, mảng bám chuyển hóa màu đen gây hôi miệng, khiến răng hư tổn vào sâu bên trong tủy răng. Từ đó răng lung lay, cấu trúc răng bị tác động nghiêm trọng, nguy cơ mất răng rất cao.

Bệnh loãng xương
Loãng xương là một trong những bệnh lý phổ biến của người cao tuổi, làm cho xương giòn, xốp và dễ tổn thương. Đây cũng là lý do răng xương hàm có dấu hiệu yếu đi, không chắc chắn, dễ lung lay và gãy vỡ khi lớn tuổi.
Các cách để giữ răng lung lay hiệu quả
Răng lung lay là một dấu hiệu cảnh báo cần được chú ý. Tùy thuộc vào nguyên nhân, răng có thể tự ổn định lại hoặc cần can thiệp nha khoa kịp thời, dưới đây là một số cách để giữ răng cứng lại:
Trường hợp do viêm nướu và viêm nha chu
Đây là nguyên nhân hàng đầu. Vi khuẩn tích tụ trong mảng bám và vôi răng gây viêm, phá hủy mô nướu và xương ổ răng, làm răng mất đi sự nâng đỡ. Điều trị bắt đầu bằng việc cạo vôi răng và làm sạch gốc răng. Trường hợp nặng hơn có thể cần đến các thủ thuật như phẫu thuật làm sạch sâu, ghép nướu hoặc xương.
Trường hợp thay đổi nội tiết tố ở phụ nữ mang thai
Sự thay đổi hormone trong thai kỳ có thể làm các dây chằng nha chu giãn ra, dẫn đến răng lung lay tạm thời. Tình trạng này thường tự cải thiện sau khi sinh. Tuy nhiên, mẹ bầu cần duy trì vệ sinh răng miệng tốt và đi khám định kỳ để loại trừ các bệnh lý khác.
Trường hợp do tác động ngoại lực
Va đập mạnh do tai nạn hoặc thói quen nghiến răng có thể làm tổn thương dây chằng nha chu và gây lung lay răng. Lúc này, bác sĩ sẽ dùng nẹp chuyên dụng để cố định răng lung lay vào các răng vững chắc bên cạnh. Sau một thời gian, răng có thể sẽ ổn định lại.

Trường hợp lão hóa
Theo thời gian, mật độ xương và sức khỏe nướu có thể suy giảm, nhưng đây không phải là nguyên nhân trực tiếp không thể tránh khỏi. Khó có thể đảo ngược hoàn toàn, nhưng việc duy trì chế độ dinh dưỡng hợp lý, vệ sinh răng miệng kỹ lưỡng và khám răng định kỳ có thể làm chậm quá trình này và kéo dài tuổi thọ của răng.
>>> Có thể bạn quan tâm: Bài thuốc dân gian chữa răng lung lay
Cách phòng ngừa tình trạng răng lung lay
Để giúp răng chắc khỏe, phòng ngừa các dấu hiệu lung lay và ảnh hưởng, cần tuân thủ những hướng dẫn về cách chăm sóc, bảo vệ răng miệng.
- Chú trọng đánh răng đều đặn 2-3 lần mỗi ngày, vệ sinh răng miệng sạch sẽ, sử dụng nước súc miệng để ngăn mùi hôi và giúp cho bề mặt loại bỏ hết các mảng bám
- Dùng bàn chải lông mềm, thao tác đánh răng nhẹ nhàng để bảo vệ răng hiệu quả, ngăn ngừa các dấu hiệu sâu răng xuất hiện.
- Ăn các thực phẩm mềm, uống nhiều nước, tăng cường hoa quả và rau xanh cung cấp vitamin cho cơ thể
- Hạn chế dùng nước ngọt, rượu bia, các loại nước uống có gas sẽ khiến răng bào mòn, dễ tích tụ mảng bám gây sâu răng.
- Khám răng định kỳ 3- 4 lần để sớm phát hiện những ảnh hưởng bất thường, có phương pháp điều trị hiệu quả.

Những chia sẻ về răng lung lay làm sao để chắc lại đã được Góc kiến thức nha khoa tư vấn, giải đáp cụ thể thông qua bài viết. Nếu bạn đang lo âu về tình trạng răng lung lay có nhiều ảnh hưởng, hãy đến nha khoa uy tín để bác sĩ thăm khám, đánh giá mức độ và sớm có phương pháp khắc phục hiệu quả nhất.






